结核病是一种常见的疾病,世界上约三分之一的人口曾接触过结核病,但大多数人仍然没有症状。患有活动性结核病感染的人往往会出现典型的症状和体征。肺结核的症状通常包括慢性咳嗽,可能会产生血性痰,胸痛、体重减轻和发烧。...
结核病是一种常见的疾病,世界上约三分之一的人口曾接触过结核病,但大多数人仍然没有症状。患有活动性结核病感染的人往往会出现典型的症状和体征。肺结核的症状通常包括慢性咳嗽,可能会产生血性痰,胸痛、体重减轻和发烧。

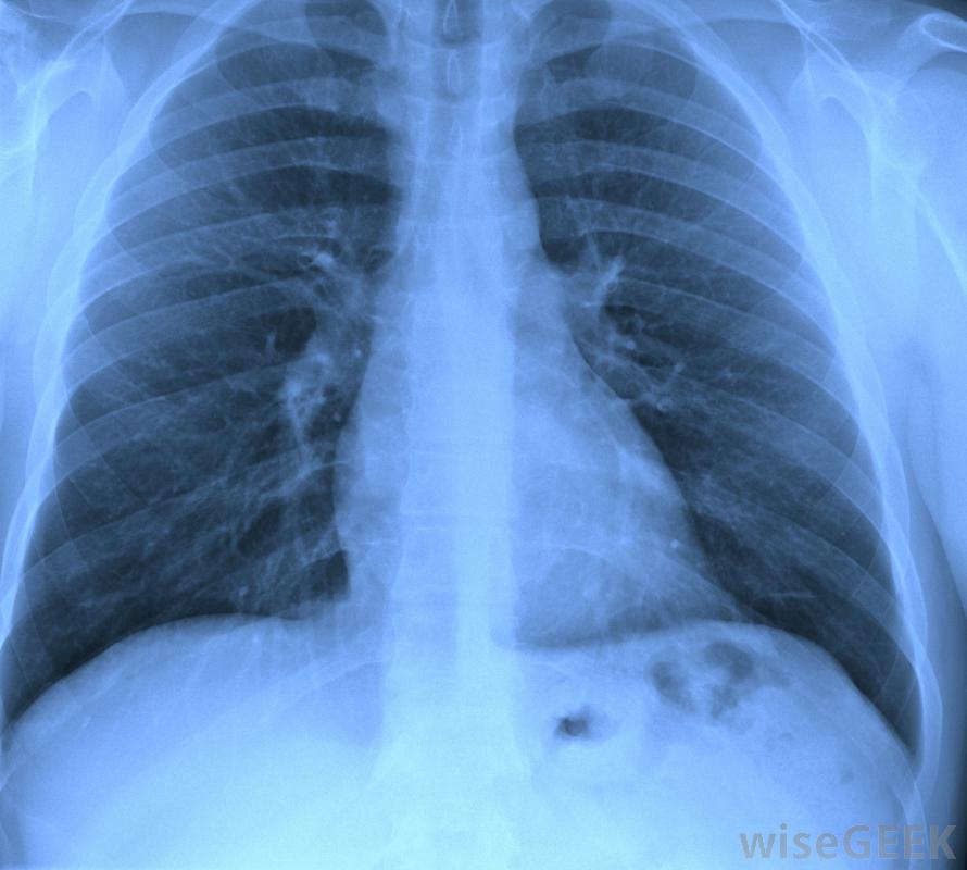
慢性咳嗽可能是肺结核的征兆。在人类中,肺结核是由结核分枝杆菌引起的,结核分枝杆菌是一种感染肺部的细菌。根据胸部x光片、皮肤测试和痰检,确诊为肺结核,肺结核患者的痰中含有细菌,痰是从下呼吸道和呼吸道咳出的物质,含有粘液、唾液和任何感染下呼吸道和肺部的细菌

肺结核是由一种感染肺部的细菌引起的。通常根据肺结核的症状进行初步诊断肺结核最常见的症状和体征包括慢性咳嗽、痰中带血、盗汗和发烧、胸痛和不明原因的体重减轻有这些症状的人通常会被转诊进行胸部x光片、痰检和其他检查,以确认肺结核的诊断。

皮肤测试通常是结核病诊断的一部分肺结核的症状是由结核分枝杆菌感染的结果。当细菌开始在肺泡内定植时,开始感染。一旦定植开始,细菌被称为巨噬细胞的免疫细胞摄取,巨噬细胞是一种负责摄取和分解细菌细胞和细胞碎片的细胞类型。巨噬细胞通常不难消化细菌;但是,它们无法杀死它们摄入的结核分枝杆菌

医学专业人员可能会检查胸部X光片,以确定是否有结核病的迹象。随着感染的进展,其他免疫细胞,包括T细胞和B细胞,开始聚集在受感染的巨噬细胞周围。免疫细胞形成团块,称为肉芽肿,是被T淋巴细胞和B淋巴细胞包围的受感染巨噬细胞的小区域。当免疫细胞无法消除感染时,免疫系统会形成肉芽肿,而不是杀死病原体,在肉芽肿中,淋巴细胞分泌细胞因子,帮助杀死入侵的细菌肺结核的典型症状,包括血性痰、咳嗽和发烧,都是由这种慢性感染引起的。感染模式可能包括肉芽肿形成、组织破坏和愈合的多个周期,如果不治疗,可能会持续数年甚至数十年。随着感染的发展,肺组织逐渐变得伤痕累累,降低了受感染者的肺功能。随着疾病的发展,受感染者也变得更具传染性,因为当他们的肺组织变得更坏死时,他们更有可能咳出受感染的物质

肺结核的症状和体征可能包括发烧、腹痛和疲劳。