头晕和呕吐的一些最常见的原因包括内耳感染、怀孕、低血糖和脑震荡。此外,肾病、高血压或低血压以及严重贫血也会导致这些症状。虽然大多数头晕和呕吐的病例是短暂的,但持续和严重的症状需要进行医学评估。这些疾病的诊...
头晕和呕吐的一些最常见的原因包括内耳感染、怀孕、低血糖和脑震荡。此外,肾病、高血压或低血压以及严重贫血也会导致这些症状。虽然大多数头晕和呕吐的病例是短暂的,但持续和严重的症状需要进行医学评估。这些疾病的诊断测试包括妊娠评估、全血细胞计数、血液化学特征和耳朵检查。此外,如果怀疑脑震荡或其他头部损伤,可以进行核磁共振或CT扫描

低血糖可导致头晕和恶心。当出现内耳感染时,眩晕可能伴有头晕和呕吐。通常,眩晕会引起旋转感,有时会引起严重的恶心和呕吐。患者可能会觉得需要抓住一个物体来稳定自己,以防止失去平衡或摔倒。治疗旋转性眩晕包括运动病药物和运动严重的低血糖常会引起头晕和呕吐,一种称为位置性眩晕的疾病会引起眩晕和呕吐引起头晕和眩晕感这种情况通常对一系列旨在帮助平衡和眩晕的运动有很好的反应。医生或理疗师可以推荐一系列治疗眩晕的运动。

各种类型的眩晕可伴有呕吐。怀孕的妇女经常会出现晨吐或妊娠剧吐。这种情况会导致恶心、呕吐,并在一天中偶尔出现头晕,不仅仅是在早上。通常情况下,头晕与呕吐引起的脱水有关。在严重的情况下,患者可能会住院接受一个疗程的静脉输液和电解质,这些液体和电解质可以逆转脱水以及脱水对未出生婴儿的影响。因为抗恶心药物可以通过胎盘并影响对于婴儿,医生在开药时会犹豫不决,尤其是在怀孕的前三个月。

坐过山车会导致头晕通常,低血糖或低血糖会导致头晕、头晕和恶心。严重的情况下,会出现呕吐和晕眩。当这种情况发生时,病人需要葡萄糖来恢复血糖水平和减轻症状,有时一杯橙汁可以迅速缓解症状,但是如果病人没有反应,就需要紧急医疗干预虽然头晕和呕吐可能是由多种疾病引起的,但很多时候病因仍不清楚。某些病毒和细菌感染可导致这种情况,食物中毒,甚至压力和恐慌症也会发生。

内耳感染可能会导致头晕和呕吐

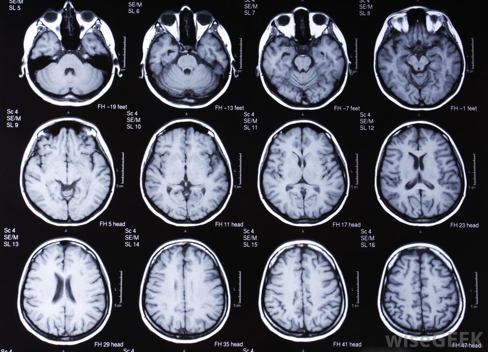
如果怀疑头部受伤是头晕和呕吐的原因,则建议进行脑部核磁共振检查。

薄荷和甘菊茶可以缓解胃部不适晨吐是孕妇呕吐的常见原因如果低血糖是导致头晕和呕吐的原因,一杯橙汁可以迅速缓解症状。

可以通过静脉输液和药物来治疗或预防脱水

肾脏疾病可导致头晕和呕吐。