磁共振成像(MRI)是一种诊断性扫描,可以显示身体内部的非常详细的图像。由于其高对比度,核磁共振成像是绘制复杂器官(如大脑和心脏,以及关节和肌肉)的首选工具。而不是像X射线那样使用突发的辐射,利用强磁场和射频(RF)场产生MRI...
磁共振成像(MRI)是一种诊断性扫描,可以显示身体内部的非常详细的图像。由于其高对比度,核磁共振成像是绘制复杂器官(如大脑和心脏,以及关节和肌肉)的首选工具。而不是像X射线那样使用突发的辐射,利用强磁场和射频(RF)场产生MRI图像。

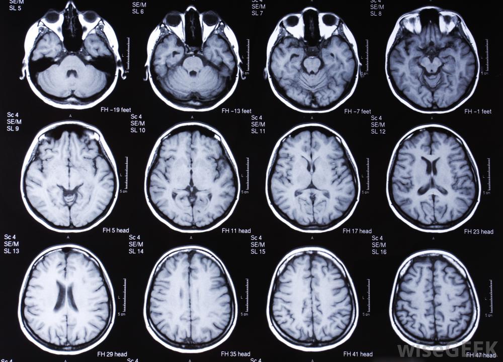
对大脑进行MRI扫描核磁共振成像通常用于识别潜在损伤或病理组织的存在。原因可能包括创伤性损伤(如肌肉拉伤)和更微妙的问题(如可能的癌症)。在这些情况下,传统的X射线甚至计算机断层扫描(CT)都不理想。MRI图像,它是通过使用射频波而不是电离辐射产生的,它更适合于软图像的渲染,非骨组织。

核磁共振成像机利用磁场和无线电波来生成内部器官和骨骼结构的图像与简单的X光不同,MRI图像的拍摄方式可以根据技术人员想要突出显示的内容进行调整,以产生各种不同的结果。总的来说,一组特定的设置被称为脉冲序列脉冲序列可以等同于照相机上不同的快门速度和光圈大小可以产生同一物体的不同图像。现代核磁共振成像机存储脉冲序列设置目录,以供不同情况下使用

有经验的核磁共振技术人员通常可以在进行检测时发现扫描中的异常。回波时间和重复时间是脉冲序列的两个组成部分,可以上下调节。基本的核磁共振成像显示脂肪细胞比水亮,有利于显示关节和肌肉。通过T2加权扫描,对比度是相反的,非常适合于脑部及其高脂肪白质的扫描。其他各种专门的扫描被用来突出不同的组织组合。

在某些情况下,CT扫描并不理想包括受损或病理组织的存在。除了不同程度的对比度,先进的MRI图像可以显示延时帧、三维图像,甚至可以对大脑进行近距离的实时扫描,也就是所谓的功能性核磁共振成像(functional MRI)。功能性核磁共振成像(functional MRI)每几秒钟扫描一次大脑,当病人暴露在不同程度的刺激下时,它能显示出大脑是否正常工作,因为血流在图像上显示为闪光

一种核磁共振成像机。在21世纪初,实时核磁共振成像技术取得了进展。这种技术可以产生实时图像,使其成为心脏扫描的理想选择,并能显示血液泵入时瓣膜可能出现故障的部位。实时核磁共振成像系统输出的是电影,而不是单帧图像,尽管屏幕截图可以隔离单个帧以进行更详细的检查医学专业人士使用核磁共振成像机来诊断内部疾病。

核磁共振成像允许对大脑结构进行可视化。