有很多情况会导致肺部瘢痕组织,虽然有些是进行性的,但另一些会导致有限数量的瘢痕形成。一些被诊断为肺癌的人在肿瘤被切除和愈合后会在组织中形成疤痕。其他的,进行性疾病,如肺纤维化,仍在继续形成肺组织重要部位周围的疤...
有很多情况会导致肺部瘢痕组织,虽然有些是进行性的,但另一些会导致有限数量的瘢痕形成。一些被诊断为肺癌的人在肿瘤被切除和愈合后会在组织中形成疤痕。其他的,进行性疾病,如肺纤维化,仍在继续形成肺组织重要部位周围的疤痕。

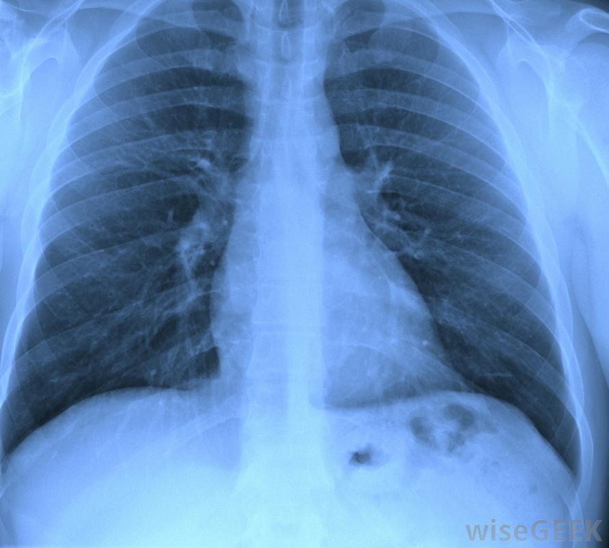
受疤痕组织影响的肺部的X光片个体在接受肺癌的放射治疗时,肺部的肿瘤会受到旨在吞噬肿瘤的放射物的轰击,然而,这样做也会损害附近的血管和气囊。随着这些区域的愈合,通常会形成疤痕组织。当停止辐射并切除肿瘤时,疤痕就会形成组织将停止形成。

化学性肺炎可能是由于长期暴露于毒素而导致肺组织炎症的结果其他情况会导致疤痕组织的形成,并逐渐恶化。肺纤维化,也被称为间质性肺炎,发生于肺组织肿胀并开始在气囊周围形成疤痕组织。这可能是由通过反复接触在肺部组织中造成小孔的微小物质身体的反应是修补这些洞,持续暴露和疤痕组织的堆积,肺部会失去一部分弹性,这种弹性使其在每次呼吸时扩张和收缩。

持续性炎症可导致肺部刺激许多患肺纤维化的人都是通过工作来获得的。吸入化学物质、石棉、矿物质,甚至某些类型的霉菌都会在肺部形成疤痕组织。这也是导致疤痕形成的最可避免的条件之一,因为暴露在这种环境中的人很多受到适当的设备和面罩的限制,一种叫做化学性肺炎的疾病会随着长时间接触毒素而发展,毒素会引起肺部组织的炎症和刺激。身体对抗这种侵袭的方法之一是形成疤痕组织

吸入烟雾可能会导致肺部瘢痕组织的积聚。对肺部的损害,意外事故、身体伤害或因其他情况而进行的手术也可能导致疤痕。持续的炎症或肿瘤的存在会导致肺部刺激,进而导致液体沿着肺部表面聚集。当这些液体排出时,做手术的地方会留下疤痕肺部受到的外部创伤,如穿刺或吸入烟雾,也会在愈合过程中导致疤痕组织的积聚。在某些情况下,进入身体另一区域的细菌会沉降到肺部并损害那里的组织,导致身体产生疤痕组织来愈合伤口外科手术可能导致瘢痕形成。

肺纤维化可能导致肺部瘢痕组织

肺瘢痕很难治疗,疤痕通常是永久性的。