我怎样治疗肘部骨折(Treat an Elbow Fracture)?

肘部是肱骨、尺骨和桡骨这三块骨头连接在一起的地方。你的肘部必须允许你的手臂上下运动,同时也要让你的手臂翻转过来。任何一块或多块肘部骨折都会导致肘部骨折。为了治疗肘部骨折,你必须首先医生。如果骨头需要复位、...
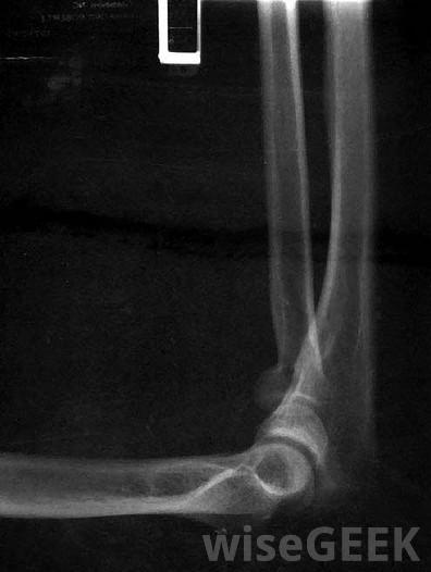
肘部是肱骨、尺骨和桡骨这三块骨头连接在一起的地方。你的肘部必须允许你的手臂上下运动,同时也要让你的手臂翻转过来。任何一块或多块肘部骨折都会导致肘部骨折。为了治疗肘部骨折,你必须首先医生。如果骨头需要复位、移动或调整,他或她会帮你做。可能需要进行x光检查以确定肘部损伤的严重程度当你肘部骨折后去看医生,医生会给你做检查。在检查过程中,你可能要拍X光片,回答关于你受伤的问题以及受伤的原因,让医生测试你的手臂能移动多远。骨头完全断裂可能只需要夹板和休息。如果骨头严重受损或脱离正常位置,或者需要取出骨头碎片,手术可能是一个合适的治疗选择,医生会给你开什么样的治疗方案取决于你的年龄,你受到的损伤的类型,以及骨折后骨骼的位置肘部骨折固定后通常采用物理疗法。除儿童外,通常不使用石膏治疗肘部骨折即使是儿童,骨折的最初几天也通常用夹板治疗。夹板就像石膏一样,只是它不能完全包裹住手臂。夹板通常是用石膏制成的,可以让手臂保持静止,这样骨头可以自行愈合。手臂愈合后,患者可能需要接受康复治疗才能恢复手臂的力量。肘关节。应该肘部骨折包括开放性骨折或神经或血管需要修复时,医生可能会选择手术治疗。有时,这种骨折需要使用针、螺钉或钢板,为了使手臂能够正常愈合。针通常用于儿童,在骨头愈合后可以取出。螺钉和钢板通常用于较大的儿童和成人,如果有不适,可以通过手术移除在愈合过程中,骨骼保持静止是很重要的。结果是手臂在数周或数月内不动。在这种情况下,物理疗法或康复治疗可用于帮助患者恢复手臂的活动。康复包括使用不同的运动,以帮助患者尽可能恢复以前的运动量。医生应告诉您应进行哪种类型的运动以及何时可以进行这些运动肘部骨折通常用夹板和吊索进行治疗,但有时也会使用石膏。
  • 发表于 2020-07-22 20:42
  • 阅读 ( 756 )
  • 分类:医疗卫生

你可能感兴趣的文章

相关问题

0 条评论

请先 登录 后评论
admin
admin

0 篇文章

作家榜 »

  1. xiaonan123 189 文章
  2. 汤依妹儿 97 文章
  3. luogf229 46 文章
  4. jy02406749 45 文章
  5. 小凡 34 文章
  6. Daisy萌 32 文章
  7. 我的QQ3117863681 24 文章
  8. 华志健 23 文章

推荐文章

联系我们:uytrv@hotmail.com 问答工具