发现
问答
发起
提问
文章
文章
更多
专家
话题
财富榜
商城
Toggle navigation
首页
(current)
问答
文章
话题
商城
搜索
登录
注册
什么是经口气管插管(Orotracheal Intubation)?
经口气管插管是指通过口或口将呼吸管插入气管。在紧急或紧急护理情况下,这种提供呼吸辅助的方法比鼻气管插管(插管穿过鼻子)或紧急气管切开术或环状甲状腺切除术(直接将导管插入气管内的紧急开口)更为可取。经口气管插管被...
经口气管插管是指通过口或口将呼吸管插入气管。在紧急或紧急护理情况下,这种提供呼吸辅助的方法比鼻气管插管(插管穿过鼻子)或紧急气管切开术或环状甲状腺切除术(直接将导管插入气管内的紧急开口)更为可取。经口气管插管被认为是最佳选择由于它允许插入比鼻气管插管或环甲切除术插管更大直径的气管插管,并且比紧急气管切开术的副作用更少。通常仅用它的简称"插管"来指代,这个过程构成了急救ABC的"a"或"气道"建立向大脑和身体提供充足氧气的方法,任何额外的医疗护理或干预都是徒劳的。
气管插管通常优于鼻气管插管。
安装合适的刀片是进行口气管插管所必需的必要设备。该设备是一个金属圆筒,在手术过程中充当全喉镜的手柄,并为小叶球提供能量,以协助插管。喉镜刀片有不同的类型尺寸和有两种一般类型,弯曲型和直型。弯曲型或Macintosh型刀片是最常用的,尽管特定刀片的实际使用取决于可用性和偏好。无论选择何种刀片,喉镜始终握在左手
在经口气管插管过程中,气管插管通过口腔插入气管。
经口气管插管时,医生、护理人员或高级心脏生命支持(ACLS)提供者站在病人的头上,倒立在病人的解剖结构上,用喉镜的刀片将舌头和会厌抬开。会厌保护气管顶部或气道,防止意外进入食物或液体。当被提起并让开时,可以通过照亮的喉镜刀片和插入气管的呼吸管来识别气管顶部的声带。因为食道-胃部的导管-与气管相邻,尝试性的经口气管插管可以很容易地将呼吸管引入食道而不是气管。有几种类型的评估用于确认呼吸管的正确放置,包括在适当的位置倾听呼吸声和胸部x光片(如有)。
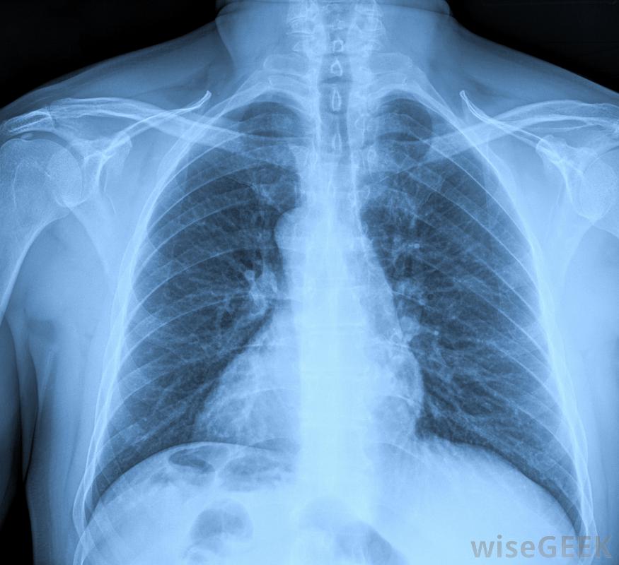
呼吸管被固定住将靠近气管末端的一个小灯泡充气,使其处于适当的位置。将导管从患者口中伸出的地方用胶带固定,并进行额外的捆扎以进一步固定气管插管。如上所述,气管插管的正确放置总是通过尽快的胸部x光片来确认。
胸部x光片用于确认呼吸管的正确放置。
发表于 2020-07-10 20:18
阅读 ( 1195 )
分类:
医疗卫生
0 推荐
收藏
你可能感兴趣的文章
正畸器械有哪些不同类型(Different Types of Orthodontic Instruments)?
904 浏览
胃肠道感染的治疗方法是什么(the Treatment for a Gastrointestinal Infection)?
745 浏览
什么是R-ICE化疗(R-ICE Chemotherapy)?
2361 浏览
抗组胺药有哪些(Different Antihistamine Drugs)?
1215 浏览
皮质类固醇戒断症状有哪些(Different Corticosteroid Withdrawal Symptoms)?
1090 浏览
什么是鼻条(Nasal Strips)?
1575 浏览
我怎样治疗肩肌疼痛(Treat Shoulder Muscle Pain)?
1197 浏览
什么是砾石根(Gravel Root)?
1532 浏览
什么是中线切口(Midline Incision)?
941 浏览
什么是静脉注射镇静剂(IV Sedation)?
2563 浏览
什么是去甲肾上腺素再摄取抑制剂(Norepinephrine Reuptake Inhibitor)?
4580 浏览
利妥昔单抗对淋巴瘤有多有效(Effective Is Rituximab for Lymphoma)?
1128 浏览
什么是肠内喂食泵(Enteral Feeding Pump)?
1163 浏览
蝴蝶绷带是什么(Butterfly Bandage)?
1100 浏览
如何治疗椎间盘突出疼痛(Treat Herniated Disc Pain)?
799 浏览
卡马西平和酒精合用安全吗(Is It Safe to Combine Carbamazepine and Alcohol)?
966 浏览
Xopenex和沙丁胺醇有什么区别(Differences Between Xopenex&Reg; and Albuterol)?
1102 浏览
什么是掌骨夹板(Metacarpal Splint)?
1006 浏览
鼻窦头痛最好的缓解方法是什么(Best Sinus Headache Relief)?
875 浏览
什么是鼻镜(Nasal Speculum)?
807 浏览
什么是膀胱颈切口(Bladder Neck Incision)?
884 浏览
什么是激光胎记去除术(Laser Birthmark Removal)?
875 浏览
什么是锁骨下导管(Subclavian Catheter)?
913 浏览
什么是人文疗法(Humanistic Therapy)?
1192 浏览
有哪些不同类型的治疗设备(Different Types of Therapeutic Equipment)?
785 浏览
CBT治疗创伤后应激障碍的利弊有哪些(Pros and Cons of CBT for PTSD)?
977 浏览
什么是肠切开术(Enterotomy)?
1531 浏览
什么是唇清创术(Labral Debridement)?
847 浏览
打嗝最好的治疗方法是什么(Best Remedy for Hiccups)?
769 浏览
吐根是什么(Ipecac)?
999 浏览
相关问题
0 条评论
请先
登录
后评论
admin
0 篇文章
作家榜
»
xiaonan123
189 文章
汤依妹儿
97 文章
luogf229
46 文章
jy02406749
45 文章
小凡
34 文章
Daisy萌
32 文章
我的QQ3117863681
24 文章
华志健
23 文章
推荐文章
舍曲林和恶心之间有联系吗(Is There a Connection between Sertraline and Nausea)?
什么是透析管(Dialysis Tubing)?
钙基膨润土的用途是什么(Uses of Calcium Bentonite Clay)?
治疗脖子僵硬有什么不同的药物(Different Medications for a Stiff Neck)?
湿疹膏有哪些不同的类型(Different Types of Eczema Ointment)?
如何选择最好的非处方视黄醇产品(Choose the Best over-The-Counter Retinol Products)?
什么是祈祷疗法(Prayer Therapy)?
什么是尿蛋白检测(Urine Protein Test)?
什么是不同类型的丧亲支持(Different Types of Bereavement Support)?
什么是牙桥工作(Dental Bridge Work)?
赖诺普利与钾合用安全吗(Is It Safe to Combine Lisinopril and Potassium)?
我怎样治疗胸口感冒(Treat a Chest Cold)?
何守武是什么(Ho Shou Wu)?
什么是二线化疗(Second-Line Chemotherapy)?
什么是清创手术(Debridement Surgery)?
手术刀柄有哪些不同类型(Different Types of Scalpel Handles)?
什么是水疗(Hydromassage)?
什么是消炎痛痛风治疗(Indomethacin Gout Treatment)?
什么是麻醉喷雾(Anesthetic Spray)?
成人中耳炎的治疗方法是什么(Treatment for Otitis Media in Adults)?
心脏支持是什么(Advanced Cardiac Life Support)?
什么是社区康复(Community Rehabilitation)?
什么是静脉输液泵(Intravenous Infusion Pump)?
医生如何治疗横向骨折(Doctors Treat a Transverse Fracture)?
眼部病变的治疗方法是什么(the Treatment for an Eye Lesion)?
主动脉瓣置换术最常见的并发症是什么(Most Common Complications of Aortic Valve Replacement)?
什么是楔形切除术(Wedge Resection)?
什么是锁骨手术(Clavicle Surgery)?
如何选择最好的增生性瘢痕治疗方法(Choose the Best Hypertrophic Scar Treatment)?
心脏手术有哪些不同类型(Different Types of Heart Surgery Procedures)?
×
发送私信
发给:
内容:
×
举报此文章
垃圾广告信息:
广告、推广、测试等内容
违规内容:
色情、暴力、血腥、敏感信息等内容
不友善内容:
人身攻击、挑衅辱骂、恶意行为
其他原因:
请补充说明
举报原因:
×
如果觉得我的文章对您有用,请随意打赏。你的支持将鼓励我继续创作!
联系我们:uytrv@hotmail.com
问答工具