多普勒雷达是一种利用微波来"听到"物理变化的监听设备。微波根据物体与多普勒雷达的相对位置在不同时间反射物体。根据波的反弹速度,可以创建精确的图像。它通常用于空中交通管制、警察速度控制枪,和放射学有关。通常与...
多普勒雷达是一种利用微波来"听到"物理变化的监听设备。微波根据物体与多普勒雷达的相对位置在不同时间反射物体。根据波的反弹速度,可以创建精确的图像。它通常用于空中交通管制、警察速度控制枪,和放射学有关。通常与气象学有关,脉冲多普勒可以测量距离和速度。

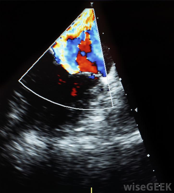
医用多普勒设备使用高频声波监测内脏。
这项技术是基于关于多普勒效应。利用这门科学,如果一个静止的物体正在向一个移动的物体发射微波,波的速度会随着移动物体的位置的变化而变化。例如,如果微波聚焦于一个向雷达走去的人,这些波会随着他走近而变得更高和更频繁这是因为物体和雷达之间的距离较短,波的传播空间较小。

气象学家使用多普勒雷达跟踪预测天气模式。
反之亦然,这意味着如果移动目标离开微波源,随着两者之间距离的增加,波会变长变短,这些微波可能会变得很长,看起来很平。为了从这些微波中产生图像,必须保持雷达和目标之间的持续通信。此通信需要连续的波输出和输入。

雷达用于测量棒球场的投球速度游戏
多普勒成像有许多物理用途。在空中交通管制中,波被用来观察飞机在空中的位置。恒定的波通信流可以被个人计算机解释为运动图像。空中交通管制员将空中的飞机视为其物理特性的运动表示位置,实时性稍有延迟。

多普勒雷达可以帮助气象学家预测冬季风暴。
警察也使用多普勒雷达。雷达枪向移动物体发射无线电波。这些波浪像汽车一样撞击物体并反弹,但不是提供物体的位置,而是测量物体的速度。雷达炮也可用于体育运动,计时跑步者和棒球的速度。

气象学家使用天气多普勒雷达有助于定位和预报风暴。
医学领域使用数字多普勒来拯救生命。在这种情况下,电磁波被用来给医生一个身体内部的视觉表现,而不切割皮肤。这些波可以产生二维或三维视图指体内的器官或异物。妊娠超声利用二维和三维多普勒给父母和产科医生一张婴儿的第一张照片。
随着技术的进步,多普勒成像的科学——脉冲多普勒——诞生了。脉冲多普勒雷达能够测量物体的位置和速度。在气象学方面,波从云层上反射出来测量其密度、位置,以及速度。

妊娠超声使用二维和三维多普勒给父母和产科医生一个婴儿';的第一张照片。