寰枢椎半脱位是指影响脊柱顶部的情况。半脱位是脱位的另一个术语,寰枢椎指的是上两个颈椎。当发生脱位或不稳定时,它可能是轻微到严重的,由许多不同的因素引起。在最坏的情况下,松驰的脊柱有可能压迫脊髓造成永久性损伤或...
寰枢椎半脱位是指影响脊柱顶部的情况。半脱位是脱位的另一个术语,寰枢椎指的是上两个颈椎。当发生脱位或不稳定时,它可能是轻微到严重的,由许多不同的因素引起。在最坏的情况下,松驰的脊柱有可能压迫脊髓造成永久性损伤或死亡,但有些人的病情较轻,只需几周的治疗就可以痊愈颈部X光片,包括椎骨。寰枢椎半脱位的原因不是单一的。当人们遭受严重的颈部创伤时,有时会发生这种情况成人患这种病是由于关节炎,特别是类风湿性关节炎。它可能在任何影响呼吸道的疾病后突然发生,如肺炎,也可能在脊柱手术后出现。先天性疾病导致肌肉或结缔组织张力差,如马凡氏症或唐氏综合征也与脊柱疾病有关,在其他情况下,这种情况作为先天性缺陷单独出现在儿童身上。

一些成人可能会发展成阿尔泰-轴向半脱位由于类风湿性关节炎,寰枢椎半脱位的症状可能不同颈部可能看起来扭曲,但可能不会。有些人会感到头痛或颈椎疼痛。大多数情况下,人们不会出现症状较轻的症状,这可能是危险的。参加运动等活动,由于颈部不稳定,可能会受到更大的伤害

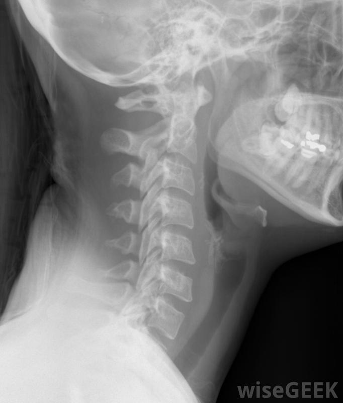
对于轻度寰枢椎半脱位,医生的最终目标是稳定患者;当病情可疑时,通常可以通过各种扫描很容易地诊断出来。这些扫描包括计算机断层扫描(CT)、x光片和磁共振成像(MRI),内科医生转向治疗。

一名因寰枢椎半脱位戴颈领子的妇女轻微的寰枢椎半脱位,其目的可能仅仅是提供颈部稳定性,这可以通过佩戴软或硬的颈部项圈来实现。如果情况更严重,可能需要住院治疗,可采用牵引或更稳定的技术来矫正"自由浮动"颈部并防止脊髓损伤,有时这些措施不足以治疗该问题

寰枢椎半脱位可通过MRI扫描进行诊断。治疗寰枢椎半脱位最有效的措施是外科手术。脊柱融合术可防止错位,虽然它也可能轻微地减少活动范围。根据病因或严重程度,可能需要一次以上的手术。如果半脱位造成脊髓压迫,前景并不总是乐观的。脊髓损伤,尤其是重大损伤,可能并非所有情况下都可修复,尽管在某些情况下神经外科医生或骨科医生能够成功地恢复部分或全部功能。

寰枢椎半脱位的症状可能包括头痛许多人从寰枢椎半脱位中完全康复,尤其是在早期发现这种情况的情况下。那些有颈椎不规则倾向的人应该注意症状。不幸的是,并不总是能够预测这种情况的发生,尤其是由于受伤或任何形式的疾病影响呼吸道时。

脊椎松动有可能压迫脊髓造成损害。