Bochdalek疝是一种潜在的危及生命的先天性缺陷,其原因是膈肌不能正确闭合。因此,腹部器官和其他组织有可能向上推入胸腔。出生时患有Bochdalek疝气的婴儿可能由于肺部发育不良和来自膨胀器官的压力。急诊手术通常需要将...
Bochdalek疝是一种潜在的危及生命的先天性缺陷,其原因是膈肌不能正确闭合。因此,腹部器官和其他组织有可能向上推入胸腔。出生时患有Bochdalek疝气的婴儿可能由于肺部发育不良和来自膨胀器官的压力。急诊手术通常需要将腹部内容物移动到正常的位置,永久关闭膈肌的开口。大多数立即接受治疗的婴儿都能正常恢复和发育

医生可以用听诊器听到胸部的肠道噪音。Bochdalek疝气的病因还不完全清楚,但医生认为有几个因素可以导致膈肌畸形。疝可能是由于影响器官发育的随机基因突变、维生素A缺乏或遗传性代谢紊乱引起的。膈肌底部通常在妊娠第八周左右闭合,据认为,导致疝气的发育问题会在两周前发生,婴儿出生时也会出现其他问题,如心脏缺陷或肺部明显发育不全

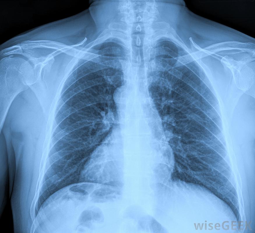
胸部X光片可确认膈肌畸形有时医生可以在胎儿还处于子宫内时,通过超声波和其他影像学检查来发现Bochdalek疝气。然而,在大多数情况下,直到他或她出生后才知道婴儿有严重的问题,婴儿可能表现出呼吸困难和心率加快的迹象。他或她的皮肤可能因为血液中缺氧而呈蓝色。婴儿也可能是跛足的,不能哭也不能睁开眼睛。一组医生通过体格检查可以很快诊断出Bochdalek疝气。当器官在胸部太高时,腹部通常会感到空荡荡的,很容易被压缩。医生也可以用听诊器听到胸部的肠道噪音。如果患者足够稳定,可以进行胸部x光或电脑断层扫描确认膈肌畸形。治疗的首要目标是通过氧疗或心肺复苏来稳定呼吸。如果心脏功能不正常,为了保持血液循环,可能需要一台旁路手术。修复博克达莱克疝是一项精细的手术,需要切开胸腔,用手固定肠道、肾脏、胃和其他器官,然后缝合膈膜上的洞,闭合手术伤口。24小时不停在手术后的几天里,监测和治疗是很重要的,以确保不会出现并发症。