重建牙科学是在正常口腔中重建一个人的牙齿、牙龈、下颚或它们的任何组合的做法或过程。它比美容牙科更广泛,而且通常是在有意识的镇静下进行的。整容和重建牙科之间的区别通常由保险公司来界定,因为许多保险公司会支付...
重建牙科学是在正常口腔中重建一个人的牙齿、牙龈、下颚或它们的任何组合的做法或过程。它比美容牙科更广泛,而且通常是在有意识的镇静下进行的。整容和重建牙科之间的区别通常由保险公司来界定,因为许多保险公司会支付修复或重建断裂或有缺口的牙齿的费用,但不会支付诸如化学或激光美白之类的牙科美容费用

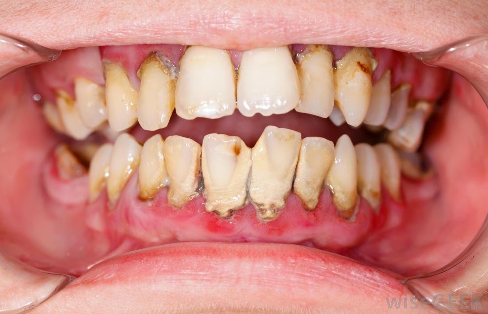
口腔卫生不良造成的损害通常需要重建牙科通常是意外或遗传的结果,但通常是口腔卫生不良的结果。这通常是出于美观的原因,但如果问题干扰了口腔的正常功能,则在医学上是必要的。有时,由于口腔的损伤或遗传问题,咀嚼或说话受到阻碍。过度拥挤、颞下颌关节紊乱、颌骨损伤和其他医学问题可能需要重建牙科

在考虑重建牙科之前,有必要咨询牙医重建牙科可能包括用复合材料建造新牙齿,修复或重建桥梁,或者在牙齿缺失的地方制造植入物,有必要支持和防止对完整且功能正常的牙齿造成损害。全口重建是这类牙科中最极端的例子,有时对于一套假牙来说是不可能的。

重建牙科通常是在有意识的镇静下进行的。在考虑重建牙科之前,有必要咨询一个合格的牙医或口腔外科医生,他们将记录一个简短的病史,进行检查你的嘴,并讨论你的选择。专家们一致认为,在进行全口再造之前,应该征求不止一种意见。根据所做工作的程度,修复程序可能会非常昂贵。一定要向你的保险公司咨询,了解他们会不会承保什么,而且要确保你选择的牙医有一个精通保险政策的计费人员。许多牙医能够为几乎没有保险的病人制定付款计划,所以一定要向你的牙医询问付款政策

美白手术可以作为重建计划的一部分,但很少由保险支付

颞下颌关节紊乱可能需要重建牙科。

在某些情况下,除了广泛的重建程序外,还需要局部义齿或种植体

重建牙科通常出于美观考虑,但也可能是恢复牙齿或口腔正常功能所必需的。