首字母缩略词PICC代表外周插入中心导管。这是一种细长的导管,通常插入上臂的静脉,然后将导管推进,直到尖端终止于靠近心脏的胸部静脉。PICC线用于静脉输液和药物的管理。 在使用前,将进行胸部X光检查,以确保PICC管路已正确...
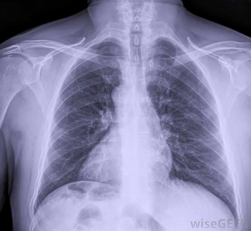
首字母缩略词PICC代表外周插入中心导管。这是一种细长的导管,通常插入上臂的静脉,然后将导管推进,直到尖端终止于靠近心脏的胸部静脉。PICC线用于静脉输液和药物的管理。

在使用前,将进行胸部X光检查,以确保PICC管路已正确放置。这些类型的静脉输液管可由受过专门培训的护士、放射科医生或医生插入助手。这项手术通常在无菌条件下在床边进行。超声检查上臂发现的大静脉。在PICC线就位后,在使用该线之前,要进行胸部x光检查以确认放置是否正确PICC线既可以用来给药,也可以用来抽血。病人需要PICC的原因有很多一些病人可能需要长期化疗或抗生素。这些外周插入的中心导管可以在原位放置数月,这使它们成为长期使用的理想选择

医生和助手可能会插入PICC管路。过度肢体麻痹是患者需要PICC管路的另一个原因。这种静脉输液是为身体提供它需要通过静脉补充维生素和营养素。高营养通常是给有肠道疾病而不能进食的人。在很多情况下,对高营养素的需求将持续数月。

高营养素通常用于肠道疾病患者这种经外周插入的中心导管也可用于有出血障碍的病人。这些病人通常需要长期使用血液或血液制品。这些输液可以很容易地通过PICC线进行。另一种这种类型的中心导管的优点是能够从管道中抽取血液,这将避免患者多次被卡在血样中。

PICC管路用于静脉输液与任何类型的侵入性手术一样,插入这种类型的导管也有风险。在插入过程中可能会发生空气栓塞,这可能导致患者头晕和呼吸短促。感染是一种风险,因为皮肤上有一个细菌进入的开口。插入时可能会造成神经损伤或刺激;这可能会导致手臂疼痛或四肢无力

有些端口完全位于皮肤下,当导管尖端在心脏上方终止时,血栓或血凝块形成的可能性很小,这种血凝块可以在导管内或静脉内形成本身。如果管道堵塞,护士可以在管道中注射一种特殊的药物,帮助溶解血栓。一旦溶解,该线应易于冲洗。

超声波机用于显示PICC线路上臂部的大静脉一旦对PICC线的需求结束,就可以很容易地将其拆除。这可以由护士或其他经过适当培训的医护人员来完成。一旦拆除了PICC线,就要测量其长度,以便与插入长度进行比较。这将确认所有的线路都被拆除了

在某些患者中,由于血液凝块或手臂静脉的问题,PICC线可能被放置在胸部。