有很多方法可以避免心脏起搏器的问题,其中包括遵循医生提供的定期维护计划,包括电话随访和定期的医生预约。你也可以避免暴露在发射强磁场的设备中,包括一些类型的焊接设备。采取特殊的预防措施进行磁共振成像(MRIs)也可能...
有很多方法可以避免心脏起搏器的问题,其中包括遵循医生提供的定期维护计划,包括电话随访和定期的医生预约。你也可以避免暴露在发射强磁场的设备中,包括一些类型的焊接设备。采取特殊的预防措施进行磁共振成像(MRIs)也可能有帮助。有趣的是,即使把手机放在衬衫口袋里也可以帮助你避免起搏器问题

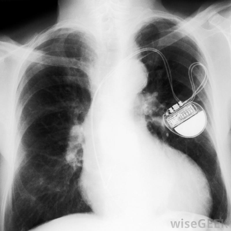
一些心律失常的人需要起搏器的帮助。避免起搏器问题的一种方法是遵循医生。这可能包括电话随访,在这个过程中,电话和一个特殊的装置被用来捕捉起搏器的数据并通过电话线传输。定期去看医生也有助于发现起搏器或其电池的问题。电话随访通常每一两个月进行一次,但是你至少可以每年去看医生。然而,具体的维护计划可能因患者而异。

起搏器可以永久性地监测心脏和心律在心房和心室许多人认为接触微波炉等家用电器会导致起搏器出现问题。实际上,微波炉、电视、电脑和普通电话不太可能干扰起搏器。然而,为了避免起搏器出现问题,你最好不要把手机放在衬衫的胸袋里,因为这可能会损害起搏器的正常功能。但是,一般来说,让起搏器与起搏器保持至少6英寸(约15厘米)的距离有助于防止问题的发生你的起搏器也可能受到强磁场的影响。例如,与产生强磁场的电弧焊设备和医疗机械保持一定距离,可以避免起搏器出现问题。一些工业电机也可能干扰起搏器的正常工作,您最好也避免它们核磁共振扫描也可能损害一个人的起搏器的正常功能。因此,一些人可能宁愿避免核磁共振成像。然而,在某些情况下,磁共振成像可能是诊断和治疗医疗条件的一个重要部分。为了避免磁共振成像引起的起搏器问题,您的医生可能会采取特殊措施来保护您并尽可能限制扫描。此外,您的医生可能会帮助您确定是否为了测试的好处而考虑进行核磁共振检查的风险

需要核磁共振成像的起搏器患者应与医生讨论其他选择。