颈椎管狭窄症是一种以颈椎椎管狭窄为特征的脊柱疾病。颈椎位于脊柱的顶部,背部和颈部的上部。椎管狭窄也可能发生在脊椎的其他部位,比如腰椎,颈椎管狭窄症是一个非常严重的医学问题,很多其他的脊椎疾病也是如此,有很多方法...
颈椎管狭窄症是一种以颈椎椎管狭窄为特征的脊柱疾病。颈椎位于脊柱的顶部,背部和颈部的上部。椎管狭窄也可能发生在脊椎的其他部位,比如腰椎,颈椎管狭窄症是一个非常严重的医学问题,很多其他的脊椎疾病也是如此,有很多方法可以治疗这种疾病,根据进展情况而定。

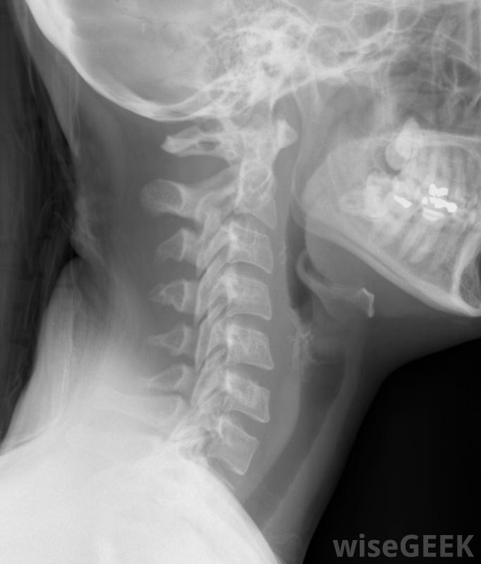
颈部的X光片,包括颈椎颈椎管狭窄症的常见原因仅仅是椎骨的磨损。随着年龄的增长,椎骨间的填充物,即椎间盘,变得越来越不灵活,椎骨开始压缩椎间盘。有些人的椎骨内侧出现骨刺,这些骨刺伸入椎管,导致椎管狭窄,如果足够狭窄,就会对脊髓造成损伤,脊髓损伤被称为脊髓病,它会引起一些非常明显的症状

随着年龄的增长,他们的脊椎会开始压缩腰椎间盘。颈椎管狭窄症患者会感到麻木、刺痛,偶尔也会有疼痛,因为神经在狭窄的椎管内受到挤压和挤压这就是所谓的颈神经根病。如果不解决这个问题,可能会造成严重的长期损害,患者的疼痛也会越来越严重。颈椎管狭窄通常是逐渐发生的,有时症状需要很长时间才能出现,因此当出现颈部疼痛、麻木和刺痛时,就医非常重要,即使症状是间歇性的。

颈椎管狭窄手术可能需要去除骨刺以帮助椎管变宽为了诊断颈椎管狭窄症,医生一般会询问病人病史,并安排一系列的医学影像学检查。这些影像会显示椎管狭窄。医生也会进行一些神经检查,以检查神经损伤,以及为了确定狭窄的进展程度。

宫颈狭窄有时会导致女性月经停止如果早期发现宫颈狭窄,有时可以通过药物治疗和有针对性的物理治疗来治疗。这些治疗可以减缓或停止椎管狭窄,同时消除许多不舒服的狭窄症状。如果病情恶化或非手术治疗无效,医生会建议进行手术在手术中,通过切除部分骨刺使椎管变宽,可以减轻对脊髓的压力。

虽然很少见,但子宫颈狭窄的一个症状是痛经颈椎狭窄最常见的原因是椎骨的磨损上背部和颈部是颈部狭窄的常见症状。

颈部狭窄患者可能会感到颈部刺痛和刺痛。