核磁共振成像技术员是一名医学专业人员,他使用磁共振成像(MRI)对人体内部结构进行详细的成像。设备采集的图像用于医生诊断疾病。大多数MRI技术人员在医院或诊断成像中心工作 脑部的MRI扫描。MRI技术人员必须熟练操作MRI...
核磁共振成像技术员是一名医学专业人员,他使用磁共振成像(MRI)对人体内部结构进行详细的成像。设备采集的图像用于医生诊断疾病。大多数MRI技术人员在医院或诊断成像中心工作

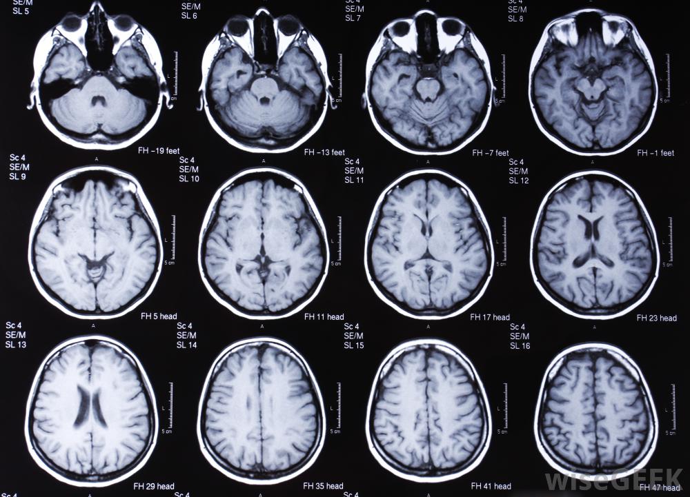
脑部的MRI扫描。MRI技术人员必须熟练操作MRI设备,并能够以某种方式治疗患者,专业态度。有意成为核磁共振技师的人必须在学校接受专业培训。学生可以选择获得副学士学位或学士学位

MRI技术人员可以在相邻观察室的屏幕上查看实时数字图像。MRI扫描仪是一个形状像甜甜圈的磁铁,在设备中间有一个隧道病人被安排在一张桌子上,桌子移动到隧道里。当病人在隧道内休息时,无线电波是用来拍摄人体内部的图像,所产生的图像可以转换成三维图像,以便更准确地诊断一种医疗状况。利用MRI可以诊断各种健康状况

一种MRI机器。MRI扫描仪可以检测与关节、脊髓、大脑、肺、胸部和身体其他部分有关的问题。该测试安全、无痛,通常只需要20到90分钟就可以完成。幽闭恐怖症患者可能需要注射镇静剂,以便在测试过程中保持完全静止。当测试进行时,扫描仪会发出嗡嗡声和砰砰声可以戴耳塞来减轻一些噪音。有时,核磁共振扫描仪配备音乐,以帮助患者在检查过程中放松。核磁共振技术人员进行扫描后,放射科医生会检查报告。然后,放射科医生会将报告发送给医生,医生会与患者讨论结果当核磁共振技术人员扫描病人时,这种检查可以用来诊断各种疾病。心脏病、生殖器官肿瘤以及胸部、骨盆或腹部的肿瘤都可以诊断为这种类型子宫内膜异位症,乳腺癌,肝脏疾病和其他健康问题也可以在核磁共振扫描的帮助下被发现。接受核磁共振成像有很多好处。例如,核磁共振成像不使用辐射,是一个有效的工具,诊断医学问题,如肿瘤和其他内部器官异常这种特殊类型的扫描是无创的,可以捕捉到x射线和CT(计算机断层扫描)扫描无法显示的图像。虽然对大多数患者来说是安全的,但不应将MRI用于孕妇。尽管它有许多优点,但检查费用昂贵,而且比其他成像检查需要更多的时间

MRI技术人员使用磁共振成像扫描仪对人体内部进行成像。