生长中的儿童长骨一端的骨折,包括其生长板,称为骨骺骨折。未成熟长骨每端附近的软骨盘使骨骼生长。这些生长组织区域称为骺板,在儿童成熟至成年时变硬。骨骼中的生长板是骨骼结构最薄弱的部位,容易受伤,称为骨折。这种骨折...
生长中的儿童长骨一端的骨折,包括其生长板,称为骨骺骨折。未成熟长骨每端附近的软骨盘使骨骼生长。这些生长组织区域称为骺板,在儿童成熟至成年时变硬。骨骼中的生长板是骨骼结构最薄弱的部位,容易受伤,称为骨折。这种骨折有时被称为Salter骨折或Salter Harris骨折。

压缩性骨折通常需要骨骺外科治疗和重建手术。骨的骨干称为骨干,而两端的圆形部分称为骨骺。在这两个区域之间有一个骨的扩张部分每端称为干骺端。骺板位于长骨两端的骺和干骺端之间。根据骨折部位的不同,骺骨折可分为五种或六种骨折类型之一

骨骺骨折有五种或六种类型,根据骨折部位的不同,Ⅰ型骨折包括骨骺与干骺端完全分离骨折穿过骨骺板,骨骺板与骨骺相连。这种骨折通常需要固定,如果有明显移位,有时需要重新定位骨块。假设骺板的血液供应没有中断,长骨两端的圆形部分称为骨骺穿过生长板和干骺端但不累及骨骺的骨折被归类为II型骨折。这是最常见的骨骺骨折类型。通过固定和休息,以及在必要时重新定位骨或生长板,骨折通常会随着时间的推移愈合和加强

儿童在被诊断为骨骺骨折之前,可能需要接受多次X光检查。一种更罕见的骨折骨骺和生长板与干骺端分离的部分属于III型骨骺骨折。青少年最容易遭受这种损伤。它通常发生在胫骨下端,胫骨是小腿的长骨之一。这种类型的骨折有时需要手术治疗骨折尽管如此,如果骨骺分离部分的血液供应得以维持,骨骼正常生长的机会仍然很大。

骨骼中的生长板是骨骼结构中最薄弱的部分IV型骨折贯穿骨骺、骺板和干骺端。对于这种非常严重的损伤,通常需要进行手术,以使骨块完全对齐。如果在手术过程中不能保持良好的对齐恢复期,骨正常生长的前景不佳。

骨骺骨折常见于胫骨下端骨骺板压缩性骨折是罕见的,通常包括骨头末端和生长板的压碎,这种损伤属于V型骨骺骨折,预后差,最典型的是导致生长发育不全,很难被发现,而且通常在正常生长障碍变得明显之前仍然无法被诊断出来。这类骨折通常需要外科治疗,而且通常还需要后期的矫正手术

儿童的骨骼可能会出现一些医学问题有些分类系统增加了一个Ⅵ型骨骺骨折,其中部分骨骺、骺板和干骺端完全缺失。这类骨折通常是外伤造成的,如重型机械事故、枪伤等。与V型骨折一样,这些骨折通常需要手术治疗和随后的重建手术。它们通常也会导致生长发育迟缓。

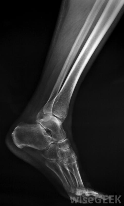
对一个没有受伤的可比区域进行第二次X光检查,如一个人和另一个肘部,可能是在诊断骨骺骨折的过程中被要求的。骨骺骨折的诊断并不总是直接的。在对病人进行检查后,医生通常要求对受累部位进行X光检查。第二次为了比较,也可以订购一个类似的未受伤区域的X光片,例如另一个肘部。如果这些X光片的发现不充分,可以要求进一步成像,如计算机辅助断层扫描或磁共振成像

骨骺骨折发生在儿童长骨的末端,并随着时间的推移而愈合。