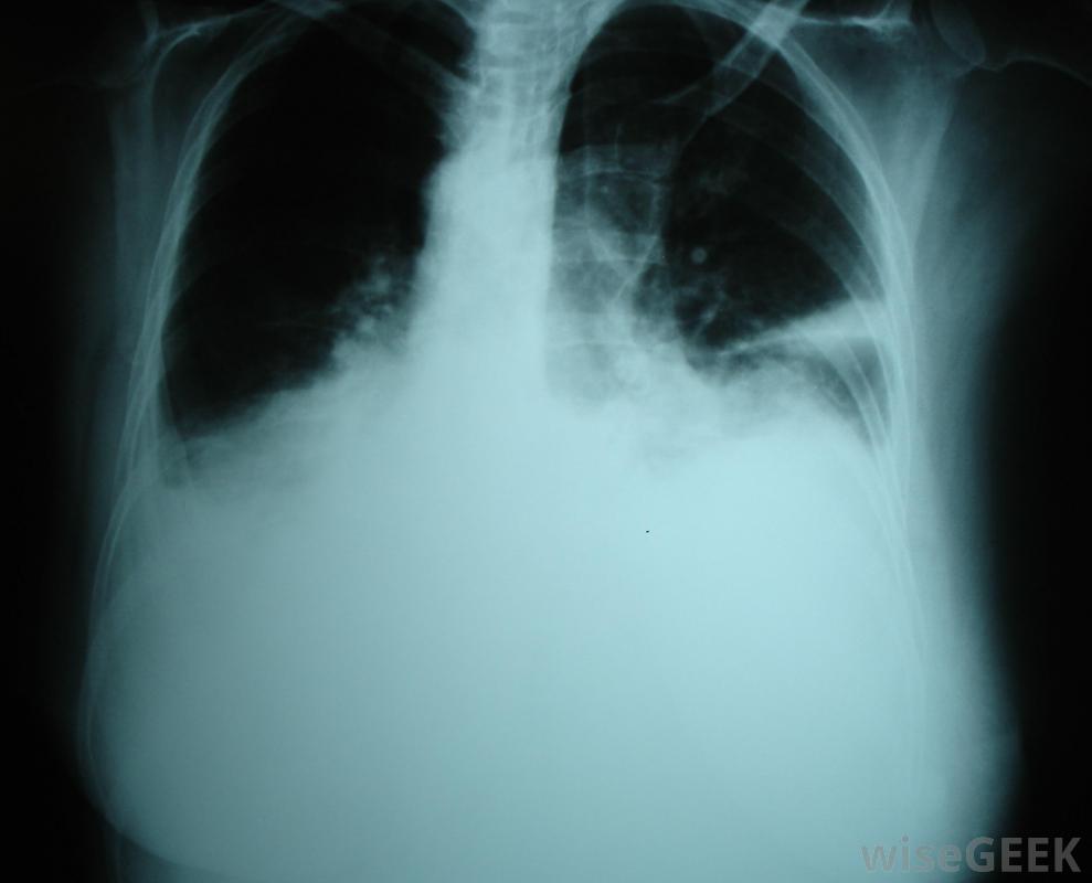
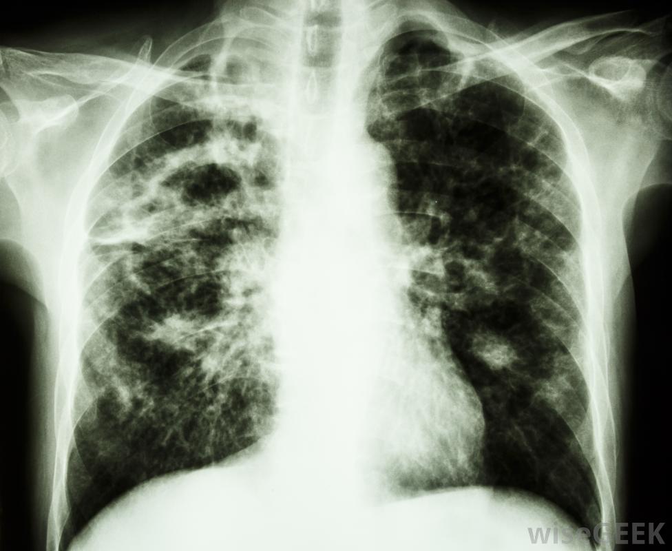
胸腔积液是胸腔内多余液体的积聚,胸腔包围着肺部。正常情况下,胸膜中含有一层薄薄的液体,以保持肺部在呼吸过程中的平稳运动。当有过多液体时,右侧胸腔积液发生在右侧胸膜中,右侧胸腔积液比左侧胸腔积液更容易导致充血性心...
胸腔积液是胸腔内多余液体的积聚,胸腔包围着肺部。正常情况下,胸膜中含有一层薄薄的液体,以保持肺部在呼吸过程中的平稳运动。当有过多液体时,右侧胸腔积液发生在右侧胸膜中,右侧胸腔积液比左侧胸腔积液更容易导致充血性心力衰竭胸腔积液。右侧胸腔积液或右侧胸腔积液的发生,是一种潜在疾病的结果。右侧和左侧胸腔的液位通常不同,称为非对称性胸腔积液。胸腔积液也可孤立于其中一个空洞,称为单侧胸腔积液。右胸腔积液主要与充血性心力衰竭(CHF)有关胸腔积液是胸腔积液在肺部周围胸腔中的积聚。胸腔积液的最初症状通常是当胸腔中的液体达到一定量时大约500毫升。报告的症状包括呼吸困难或疼痛,以及呼吸时胸壁的运动减弱。当胸部和背部被交叉或轻拍时,共振也会减少当用听诊器检查时,呼吸音可能会很迟钝,也可能会有不寻常的声音,如噼啪声或摩擦声,这是由于过多的液体产生的摩擦造成的。如果怀疑这些症状,通常会进行x光或超声波检查以确认诊断

右胸腔积液主要与充血性心力衰竭相关。一旦诊断出右胸腔积液或左胸腔积液,则将一根大针放在背部或胸部取出,这一过程被称为胸腔穿刺术。然后对液体进行分析,以确定液体的成分,以及液体是否渗出或渗出。渗出液表明是全身性的,其中身体的一部分,通常是心脏、肝脏或肾脏,会造成体内液体的整体失衡。渗出液表明肺部或周围有问题,如细菌或病毒感染、栓塞或癌症,需要进一步的检查才能确诊。还有其他类型的原因没有分类,例如自身免疫性疾病和手术引起的积液,但这些并不常见。

某些心脏疾病,如右胸腔积液,可以用超声波检测出来任何类型的胸腔积液的治疗都是基于根本原因,必须治疗才能解决整个问题。为了减少胸腔积液,会用针头将多余的液体抽出。当积液较多时,可以使用引流管或进行手术。其他治疗方法包括使用化学药品治疗感染和手术融合胸膜腔以阻止液体积聚。

过去,结核是导致胸腔积液的主要原因。

任何类型的胸腔积液的治疗大多基于潜在原因

医生将倾听患者的肺部,以诊断右胸腔积液。