多普勒检测是一种非侵入性的医学测试,用于检查通过大动脉的血流。有时也称为多普勒超声,它可以帮助医生识别可能导致健康并发症(如中风)的阻塞。多普勒成像也有助于医生诊断动脉阻塞、血栓,肿瘤和动脉和静脉的问题。 尼古...
多普勒检测是一种非侵入性的医学测试,用于检查通过大动脉的血流。有时也称为多普勒超声,它可以帮助医生识别可能导致健康并发症(如中风)的阻塞。多普勒成像也有助于医生诊断动脉阻塞、血栓,肿瘤和动脉和静脉的问题。

尼古丁会影响多普勒检测结果。A传感器是一种手持设备,用于进行测试。传感器涂有水溶性多普勒凝胶,置于皮肤上方,血管上方。它会发出高频声波,在被测静脉或动脉上反弹。如果血流速度发生变化,声音的频率会发生明显的变化,就像雷达枪测量行驶速度一样,多普勒测试测量的是血流的速度和效率,如果血流顺畅不间断,则测试正常;如果出现堵塞,多普勒测试结果将返回异常报告

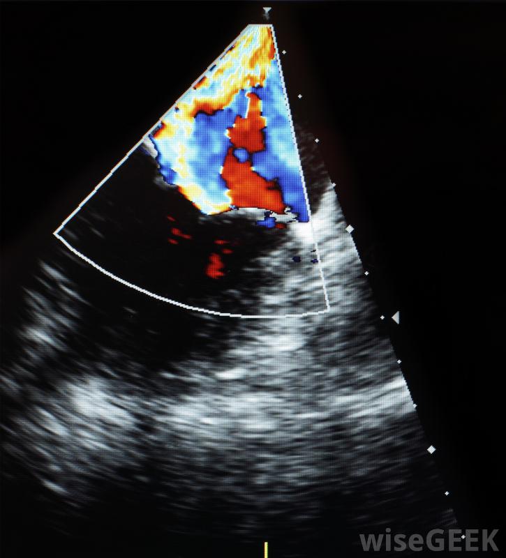
多普勒检测是一种医学测试,高频声波被传输到静脉和动脉以监测血流不正常的结果可能表明各种各样的问题。一些潜在的问题包括动脉阻塞、静脉闭合或肿瘤医生需要解释多普勒测试结果。

警察雷达枪使用多普勒技术多普勒测试在怀孕期间也用于监测血流。从母亲到婴儿的适当流量对婴儿的健康至关重要。该测试还允许医生监测和评估婴儿的心跳。这台机器实际上可以租给准父母,让他们在家里进行多普勒测试和倾听有时进行彩色多普勒超声检查,将声波结果转换成彩色结果,彩色检查有时用于识别已识别的癌性肿瘤因为它们通常显示血流量增加。虽然医生对这两种检查都很在行,彩色版本通常更容易阅读。多普勒测试几乎不需要患者准备。患者只需从待测区域脱掉任何衣物。由于尼古丁会影响多普勒测试结果-因为它会导致静脉收缩,所以病人可能需要在测试前一段时间内禁烟。作为一种非侵入性测试,多普勒测试几乎不会引起任何不适,也几乎没有风险

多普勒超声机利用多普勒效应产生运动图像。