bunion手术有很多种。事实上,据估计有100多种。其中一些手术是为了去除骨头,而另一些则是用来重新排列组织。没有一种方法在所有情况下都能起到最好的效果。有些外科医生对同一个人的脚进行不止一种手术。 根据患者的特...
bunion手术有很多种。事实上,据估计有100多种。其中一些手术是为了去除骨头,而另一些则是用来重新排列组织。没有一种方法在所有情况下都能起到最好的效果。有些外科医生对同一个人的脚进行不止一种手术。

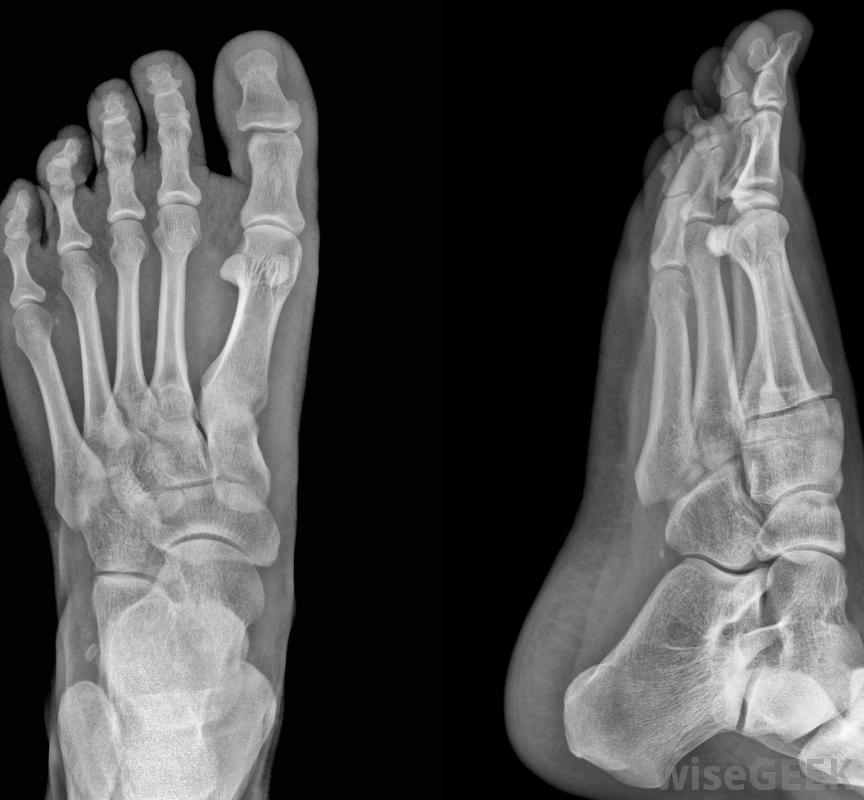
x光片可以用来检查囊肿。
根据患者的特殊情况,外科医生可能会发现有必要切除从脚部侧面凸出的骨头块。这种手术被称为bunionecution,它可以去除鼓包,但不能固定患者的大关节脚趾。有时外科医生会从患者的大脚趾上切除整段骨头。这个过程被称为截骨术,用于矫正患者的大脚趾或大脚。在这种情况下,外科医生可能会使用特殊的设备,如螺钉或金属丝,在愈合过程中保持骨骼的稳定。

穿高跟鞋可能会导致囊肿。
有时外科医生认为需要在包囊炎手术期间重新调整患者大脚趾周围的韧带。进行这种手术是为了调整患者的大脚趾关节周围的韧带,这些韧带已经松动比正常情况下或比正常情况更紧。发生这种情况时,患者的大脚趾会错位,并向患者其他脚趾的方向移动。重新调整韧带可以修复移位。

根据手术类型的不同,束神经束手术后的恢复可持续数月。
在某些情况下,可能需要在布尼昂手术中移除患者第一跖骨末端的骨头跖骨是足部的长骨之一。第一个跖骨与跖趾关节相连,跖趾关节是指人的大脚趾底部的关节。在取出所需数量的骨后,外科医生将重塑受影响的骨骼,包括大脚趾骨。

患有夜间佩戴特殊夹板可能有助于bunion疼痛。
在某些bunion手术过程中,外科医生可能会移除患者脚趾关节的一部分,然后将剩下的部分融合在一起。在其他情况下,可以是人工关节或其中的一部分,植入受损关节处。这些人工关节通常是由塑料制成的。

有些外科医生必须对同一人的脚进行不止一种类型的手术,才能治疗小拇趾囊炎。
无论患者进行哪种类型的束神经束手术,他通常会有一个较长的恢复期。有些类型的囊膜炎手术涉及更多的人的软组织或骨组织,需要更长的愈合时间。根据不同的类型,这种手术,一个病人可能需要6周的恢复时间,而其他病人则需要长达6个月的时间才能完全痊愈。

手术刀是一种小而锋利的刀,在手术中用来做切口。

有几十种可能的手术来切除小兔子囊。