需氧菌是微小的单细胞生物,是细菌的一种。由于这些细菌需要氧气才能生存和生长,这是这些微生物的决定性因素。相比之下,不需要氧气,甚至受到氧气伤害的细菌,被称为厌氧菌。 结核病通常影响肺部并引起盗汗和发烧。 好氧细菌...
需氧菌是微小的单细胞生物,是细菌的一种。由于这些细菌需要氧气才能生存和生长,这是这些微生物的决定性因素。相比之下,不需要氧气,甚至受到氧气伤害的细菌,被称为厌氧菌。

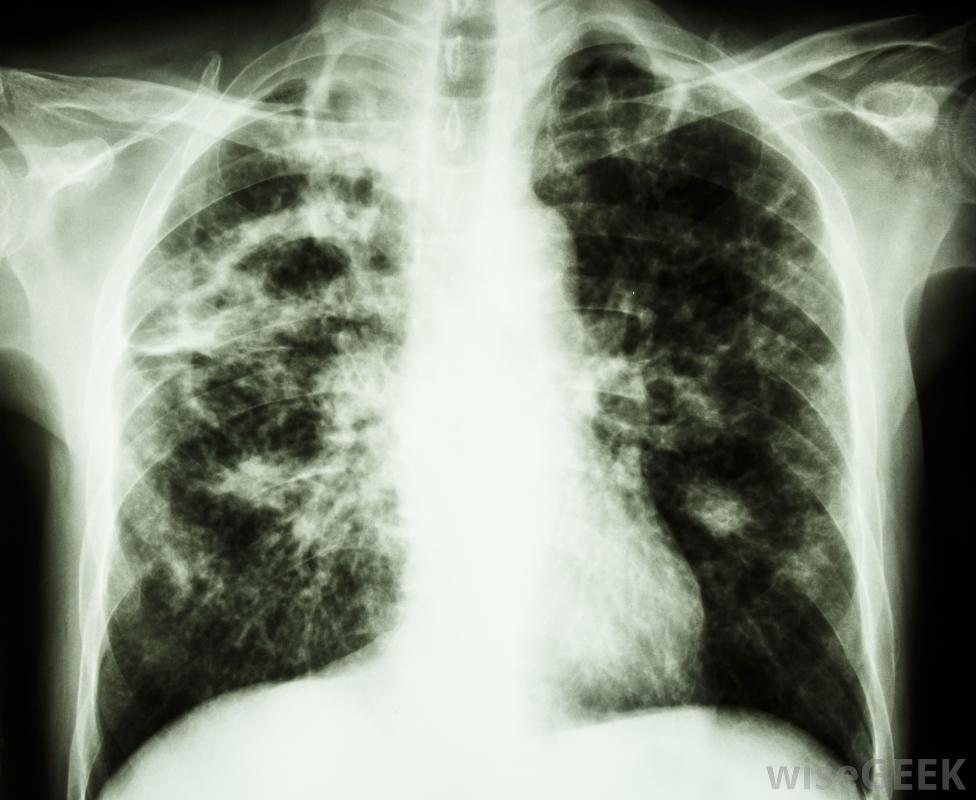
结核病通常影响肺部并引起盗汗和发烧。
好氧细菌与环境进行气体交换。这种氧气的摄入对消化和细菌内部发生的其他能量消耗过程至关重要。所有动物,包括人类,也需要氧气的持续存在,因此,人类和这些细菌有着相同的栖息地。需氧菌非常丰富,它们实际上是地球上数量最多、分布最广的有机体。在有足够氧气和某种形式的物质作为食物来源的地方,需氧菌很可能就存在。

许多种类的需氧菌和厌氧菌都能促进健康和预防疾病。
一种臭名昭著的需氧菌是结核分枝杆菌,肺结核引起肺结核的有机体。肺结核是一种或多种结核分枝杆菌被吸入并在宿主体内成功繁殖,特别是在肺部。由于结核杆菌是有氧的,嗜氧的,免疫系统有限的个体的肺是一个好客的栖息地,大多数健康人都有免疫系统,可以防止这些需氧菌在体内停留并引起感染

肺结核是一种需氧菌,往往在肺部富氧的环境中茁壮成长。
,许多种类的细菌,包括需氧菌和厌氧菌,实际上可以促进健康和预防疾病。这些有益的细菌可以被认为是一支保护宿主免受更多致病微生物侵害的个人军队。细菌还负责不断分解废物,使养分返回土壤,使食物完整链。在这种作用下,细菌被归类为分解者,它们在土壤中的存在对生态系统的健康至关重要。

肺结核的症状可能包括疲劳和咳嗽。
需氧菌繁殖通过一种叫做二元裂变的过程,也就是说,一个人可以复制自己并分裂成两个完全相同的个体。正是这种不需要寻找合适的配偶就可以快速繁殖的能力,使细菌能够导致许多可怕的感染。一个微小的细菌可以进入伤口或被吸入,如果条件合适,在数小时内就可以达到数百万。实际上,是细菌产生的废物起到了毒药的作用,破坏了受感染者或动物的组织,而不是细菌本身。

呼吸痛可能是肺结核的症状。

有氧细菌是地球上分布最广的生物。

需氧细菌需要氧气才能生存和生长。