开放式核磁共振成像(MRI)是原始磁共振成像(MRI)设备的一种高级形式。自20世纪80年代开始使用,MRI扫描通过人体发送的电磁波和无线电波的强度高达地球磁场的3万倍。常规MRI是一种大的封闭式磁铁,患者在进行MRI扫描时躺在里面...
开放式核磁共振成像(MRI)是原始磁共振成像(MRI)设备的一种高级形式。自20世纪80年代开始使用,MRI扫描通过人体发送的电磁波和无线电波的强度高达地球磁场的3万倍。常规MRI是一种大的封闭式磁铁,患者在进行MRI扫描时躺在里面一动不动,但是开放式核磁共振成像是一种新的系统,可以让病人在扫描过程中站在开放式磁铁装置中。

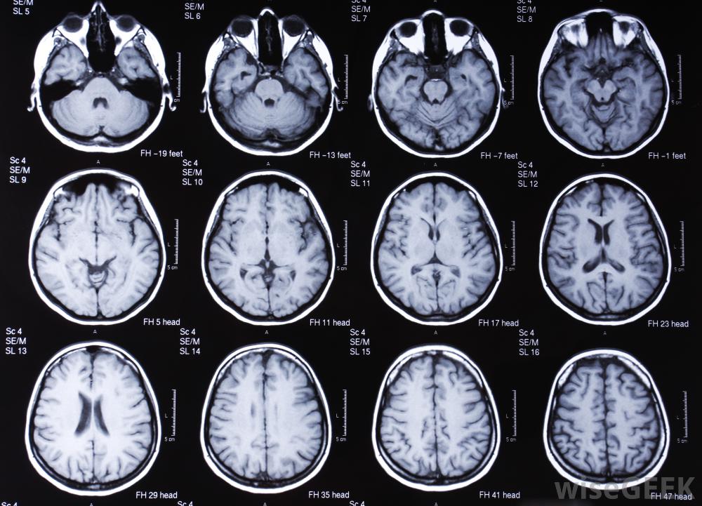
对大脑进行核磁共振扫描。
传统的核磁共振扫描仪给患者的活动空间很小,也很舒服。开放式核磁共振成像提供了一种替代方法,可以代替通常令人痛苦的、嘈杂的核磁共振检查开放式MRI是一种允许患者在接受扫描时自由站立的设备。在开放式MRI设备中,患者可以观看电视并查看医生和护士。该选项为焦虑、幽闭恐惧症、老年人或年轻人以及肥胖患者提供了一个吸引人的选择。

与传统的闭合式核磁共振成像(MRI)不同,开放式MRI允许患者站立起来,而传统的闭合式核磁共振成像(MRI)是指患者在检查过程中一动不动地躺着。
开放式核磁共振成像(MRI)被开发出来,患者可以轻轻地站在MRI系统旁边,一个类似手臂的装置从很短的距离跟踪病人的身体。这样,病人就不必进入一个封闭的类似棺材的装置里,它类似于传统的核磁共振扫描仪。开放式核磁共振设备已被证明对许多患者来说是受欢迎和有效的。
核磁共振扫描及其无线电波通过重新定位细胞核来改变人体的原子。随着人体原子的移动,任何组织的图像都是由计算机扫描产生的含有少量氢的组织,如骨骼,被视为一个黑暗区域,而拥有最多氢原子的组织,如软组织,则变得更轻。
通过制作各种人体组织的详细图片,核磁共振扫描是发现肿瘤和检查大脑和脊髓的最佳技术之一,MRI扫描已成为确定脑组织异常的最佳技术之一,对于发现心脏缺陷和身体内部器官的其他潜在并发症也非常有效。

传统的MRI扫描仪可能会让一些患者感到不适。