波音足球

波音足球是大型的国际娱乐游戏的NO.1,足球篮球投注等多款游戏,官方稳定返现高,最高返现888,玩家可以在网页上登录注册,官网还提供app下载。在古动物化石中,能看出动物生前的脂肪结构吗?_www.iiiff.com
图片:12019 / CC0 090811mario,身无所长,学无所当作的地质男

分两个问题作回覆:1.为什么脂肪难以形当作化石? 2.是否发现过古动物的脂肪?

——————————

1.为什么脂肪难以形当作化石?

一般环境下,动物灭亡后,轻易形当作化石的是牙齿、骨骼、外壳等坚硬布局,因为所含有机质较少无机质较多,可以或许保留较长的时候,被埋藏到地下后,能和沉积物一路颠末持久的矿物质充填感化、瓜代感化等等。

内脏、肌肉、脂肪、皮肤等软组织,富含有机质,会很快就腐臭、被分化殆尽,没机遇形当作化石,所以大部门古生物化石都是以赤裸裸的骨架形态呈现在我们面前。

——————————

2.是否发现过古动物的脂肪?

发现过古动物的脂肪,固然脂肪难以形当作化石,但在冻土、琥珀等特别前提下,古生物会相对完整地被保留下来,下面本家儿要介绍三种留下脂肪陈迹的古生物化石:猛犸象,西伯利亚野牛,鱼龙。

猛犸象脂肪化石:

在西伯利亚的冻土之下,埋藏了大量的史前动物,洞狮,狼....最刺眼的莫过于猛犸象。至今大约还埋藏着 1500 万头猛犸象,因为尸身持久处在极低温情况前提,身体里的水分结当作冰,按捺了尸身进一步败北,所以猛犸象的皮肤、肌肉、脂肪、毛发......通通都得以保留。

一些来自于西伯利亚冻土的年少猛犸象化石,表白猛犸象身体背部的皮肤下有半斤八两多的脂肪层,出格是在脖子和鬐甲区域位于颈脊与背脊之间的隆突部位)。

这是一具来自雅库特意区的年少猛犸象部门尸身,大约 14-16 个月大。

▼编号 7911 年少猛犸象

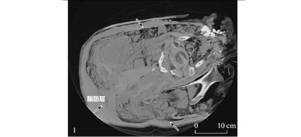
脂肪、肌肉、结缔组织均保留下来,下面是它的颈椎扫描照片:三个箭头指示区域为脂肪层,脂肪本家儿要堆积在颈部区域,厚达7cm。在身体两侧的也发现了脂肪层,厚度大约是2cm

▼编号 7911 的颈椎横切面扫描图

再来看别的一具较为完整的年少猛犸象,同样保留了无缺的脂肪层。

▼来自亚马尔半岛的编号 13908 年少猛犸象

这具化石保留较为无缺,出格是颈部,可以较着看到有一个隆起的区域里面富含脂肪,身体两侧的皮下组织也呈现了较厚的脂肪层。

正因为多具猛犸象化石的脂肪堆积在颈部区域,所以有研究人员认为,猛犸象生前可能拥有跟骆驼近似的驼峰,用来堆集脂肪,渡过恶劣、严寒且食物较少的冬季。相对多的脂肪含量,也表白了这些年少猛犸象可能死于夏日,因为脂肪是在冬季耗损的。

西伯利亚野牛脂肪化石:

在 1979 年 7 月,一具 36000 年前的雄性西伯利亚野牛木乃伊被一名矿工发现,这个保留无缺的野牛化石外表被笼盖着一层蓝铁矿,好像一身蓝色的皮肤,所以被称为“Blue Babe”蓝宝物。

跟猛犸象一样,葬身于冻土中,所以野牛几乎无缺无损,皮肤,肌肉,脂肪通通得以保留。此外,蓝宝物的外相、牙齿和角以及脂肪含量表白它在初冬灭亡——死于美洲狮的爪下。(* 注:这具野牛发现于阿拉斯加冻土,那时白令陆桥连通亚洲和海说神聊美洲,所以西伯利亚野牛可以横穿承平洋)

“蓝宝物”野牛

比力诧异的一点是:研究团队为了庆贺这个出格的发现,决议做一道大餐——烹调了野牛部门的颈肉,大口吃肉,大口喝酒。据说这肉有很浓的土壤味,但很好吃。也有人说肉很是硬,但凑合~

▼被吃失落的西伯利亚野牛回复复兴图

鱼龙脂肪化石:

在德国 Holzmaden 页岩采石场出土了大量的鱼龙化石,良多化石上面留有黑色的轮廓——皮肤,而鱼龙的骨骼和皮肤之间存在空地,所以很早就有古生物学家认为鱼龙的骨架笼盖着大量的软组织,例如脂肪。

比拟自然冷冻库,鱼龙葬身深海后,要留下脂肪化石长短常难的一件事。所以研究人员在筛选了大量鱼龙化石后,才找到一具合适要求的鱼龙化石,编号 MH 432。

从猜想到验证,持续了近百年,在 2018 年,终于在这具来自 1.8 亿年前的狭翼鱼龙化石中,发现了脂肪陈迹——黄色的脂肪层地点的位置与现生的海豚、棱皮龟不异

现生海豚(左)与狭翼鱼龙(右)的皮下组织对比图

▼编号 MH 432 狭翼鱼龙化石

脂肪层的发现,必然水平上也表白了鱼龙可能是一种活跃的恒温动物。


既然说到脂肪,那就说一说另一种脂类物质——胆固醇。

胆固醇是动物独有的,而今朝发现最早的胆固醇分子,来自于 5.58 亿年前的狄更逊水母化石。

* 所以狄更逊水母是地球上已知最古老的动物之一。

狄更逊水母的胆固醇:

什么是狄更逊水母?

它们是埃迪卡拉生物群中最具标记性的一种生物,糊口在前寒武纪时代(6 亿 3500 万年前-5 亿 4200 万年前),是今朝所发现最早的多细胞生物。

狄更逊水母回复复兴图

狄更逊水母和埃迪卡拉生物群的其它生物一样:没有发现消化器官,身躯往往扁平,不克不及移动,固心猿意马在海底,靠过滤海水中的有机物为生。所以狄更逊水母身后,只在砂岩层中以印痕化石铸模化石的形式被发现,标本长度从数毫米至 1 米皆有,厚度则从几分之一毫米至若干毫米。

狄更逊水母化石

正因为如斯独特,有些研究人员认为它不属于动物,直到 2018 年,在俄罗斯西海说神聊部的白海四周的一个荒僻地域发现了保留很是无缺的狄更逊水母化石,从化石残留组织中检测到胆固醇分子,终于确认了这个奇异的工具,是地球上已知最古老的动物。

  • 发表于 2019-10-20 17:30
  • 阅读 ( 928 )
  • 分类:其他类型

你可能感兴趣的文章

相关问题

0 条评论

请先 登录 后评论
联系我们:uytrv@hotmail.com 问答工具