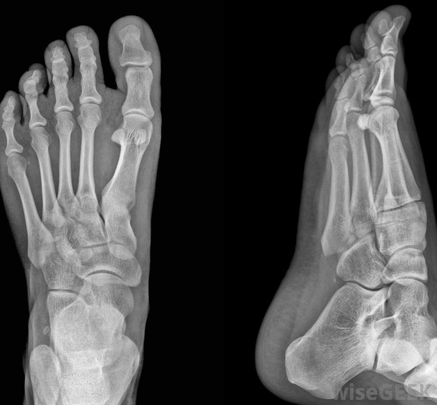
再造脚趾手术是一种旨在恢复足部一个或多个脚趾的活动性或可用性的医疗过程。这种手术可以解决许多不同的医疗问题,从严重的骨折或骨折到关节炎或锤状趾。再造脚趾手术可能只涉及脚趾骨的改变,或者可能包括脚趾骨和足部...
再造脚趾手术是一种旨在恢复足部一个或多个脚趾的活动性或可用性的医疗过程。这种手术可以解决许多不同的医疗问题,从严重的骨折或骨折到关节炎或锤状趾。再造脚趾手术可能只涉及脚趾骨的改变,或者可能包括脚趾骨和足部骨骼的改变,特别是连接脚趾骨和足部其他部位的跖骨。手术后的恢复可能是长期的,而且会有些疼痛。

重建脚趾手术可用于改变脚趾和足部的骨骼。重建脚趾手术的具体过程可能因问题而异例如,锤状趾是指脚趾弯曲,改变脚的稳定性和活动性的一种情况。重建脚趾手术可以切除足部的骨骼,从而使骨骼伸直并正常工作。这可以减轻疼痛,恢复活动性,甚至是解决美容问题。恢复期可能会持续数周,在此期间,患者需要远离足部,并监测受影响的足部是否存在感染或其他问题。

脚趾重建手术的具体过程可能因所处理的问题而异。如果脚趾发生严重骨折,重建脚趾手术可能是必要的,以恢复该脚趾的功能。手术将包括切除一些受损的骨头,在骨头中插入针或钢板,使其与其他骨头保持稳定,并修复任何受损的肌腱或肌肉患者可能会也可能不会从这种手术中完全恢复;很可能脚趾的活动性会因为钉和钢板而降低,而且脚趾的柔韧性也可能大大降低。脚趾缩短是另一种重建脚趾的手术。有些人的脚趾拉长,会改变平衡、活动能力或仅仅是美观。如果脚趾导致疼痛或不适,重建脚趾手术可以使组成脚趾的一块或多块骨头基本上变短。切割骨头通常在关节处进行,也可以在靠近跖骨的地方进行。这是一种相对安全的手术,虽然恢复时间长达三个月,但也有可能出现并发症。一些最常见的并发症包括活动能力下降、神经损伤、刺痛,甚至脚趾感觉丧失。

骨折、关节炎或锤状趾可能需要进行重建手术。