肩峰成形术是一种外科手术,治疗因撞击综合征引起的肩部疼痛和虚弱。肌腱穿过肩胛骨顶部的肩峰骨下方,如果这些肌腱受伤或发炎,他们可以摩擦肩峰下侧。肩峰成形术的目的是平滑或去除肩峰的任何粗糙部分,以便为肌腱创造更多...
肩峰成形术是一种外科手术,治疗因撞击综合征引起的肩部疼痛和虚弱。肌腱穿过肩胛骨顶部的肩峰骨下方,如果这些肌腱受伤或发炎,他们可以摩擦肩峰下侧。肩峰成形术的目的是平滑或去除肩峰的任何粗糙部分,以便为肌腱创造更多的活动空间。

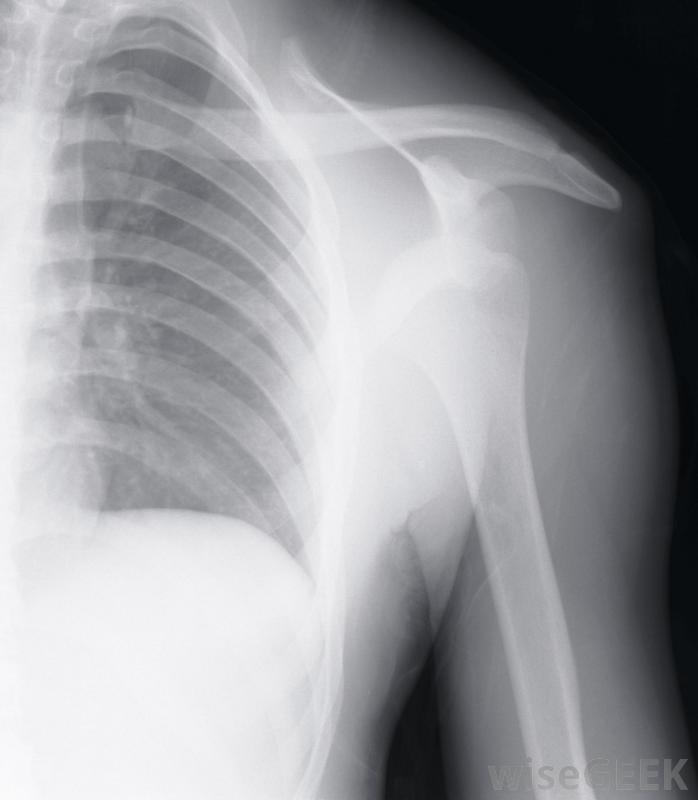
在进行肩峰成形术之前,外科医生可能需要做X光透视来观察肩关节的骨骼。运动员如果参加包括手臂和肩部头顶运动的体育活动,可能会患上撞击综合征肩部肌腱,尤其是肩袖,也可能是由于过度使用或重复性活动,如绘画或提举引起的。如果患者出现持续性疼痛,但用消炎药、休息或冰敷都无法缓解,外科医生可能需要进行肩峰成形术

如果患者出现持续性肩痛,他的外科医生可能想做一个肩峰成形术,他可能会先安排一系列的x光片来观察肩关节的骨骼。其他的检查,如核磁共振成像(MRI),也可能会被要求提供肩部有液体如果外科医生认为肩峰成形术对患者有利,则可将其作为开放手术或关节镜手术进行。

如果冰敷和休息不能治疗肩关节疼痛,肩峰成形术可能是必要的。开放性肩峰成形术是在肩前部切开一个切口,以使肌腱和肌肉都能看到。外科医生可以切除肩峰骨的前部把骨头下面的脊线剃掉,使其表面光滑。然后在切口打开时评估活动范围。这种开放式手术可能需要更长的恢复时间,但它使外科医生有更多的机会接触肩部区域

医生可能会建议对肩关节疼痛和虚弱的患者进行肩峰成形术。肩峰成形术也可以作为一种关节镜手术进行,其中一些在肩关节区域进行切口。插入关节镜(包含摄像机和光源)以查看肩峰和肩关节。还插入手术器械来刮除或移除部分肩峰。这种关节镜手术创伤小,恢复时间短在肩峰成形术后,病人应该在医院呆上几个小时到一个晚上。可能会有疼痛和肿胀,可以用冰和止痛药治疗。外科医生也可以在手术后一两天开始进行物理治疗练习。通常情况下,对患者来说遵循外科医生和理疗师的建议,以使肩关节完全恢复活动范围。

开放性肩峰成形术比关节镜手术更具侵入性。