持续性咳嗽通常被认为是一种持续数周以上的疾病,可能由胃酸反流、吸烟、哮喘、肺部疾病和某些类型的肺癌引起。有时发展成一种轻微的疾病,如普通感冒或流感,可能会加重这些症状并导致持续咳嗽。有时,咳嗽随着时间的推移而...
持续性咳嗽通常被认为是一种持续数周以上的疾病,可能由胃酸反流、吸烟、哮喘、肺部疾病和某些类型的肺癌引起。有时发展成一种轻微的疾病,如普通感冒或流感,可能会加重这些症状并导致持续咳嗽。有时,咳嗽随着时间的推移而发展,并且随着时间的推移变得更加突出。

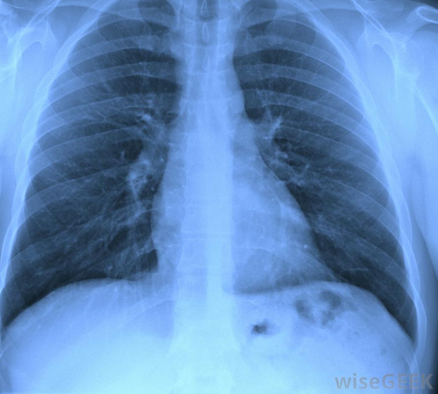
持续咳嗽可能是肺癌的症状持续咳嗽的原因一般都有一个共同点,都是因为肺部有东西阻塞了呼吸道,导致咳嗽,这是人体试图消除阻塞的方式。大多数咳嗽的原因都是暂时的,如因感冒或短暂吸入烟雾而引起的胸部充血。持续咳嗽通常是由更严重的情况引起的,如肺部有大量焦油或粘液或吸入

吸烟会导致持续咳嗽。持续咳嗽的一个原因是吸烟。这通常被称为"吸烟者咳嗽",是由肺部焦油和粘膜积聚引起的。只要一个人继续吸烟,持续的咳嗽可能会持续一生如果他或她成功戒烟,通常肺部可以自我再生,咳嗽可能会在戒烟后几个月到几年内消退。

哮喘可能会导致持续咳嗽某些疾病,如哮喘,也可能引起持续的咳嗽。肺病是另一种可能,也是某些癌症的一种。事实上,慢性和严重的咳嗽是肺癌的主要症状之一,它可能伴有胸部疼痛和喘息,虽然有时在诊断时没有症状。反流或食物吸入肺部也可能导致持续咳嗽。有时这可以通过饮食和药物治疗,咳嗽可能平息。其他时候可能需要手术,或者食物和饮料需要加厚以防止它再次进入呼吸道。任何时候咳嗽持续超过一到两周,主要是如果病情严重,并伴有粘液或胸痛,应咨询医生,排除严重的疾病。很多时候,有一个简单的解释,例如由于环境原因导致的长期过敏。在一些罕见的情况下,可能是一种潜在的危及生命的疾病,治疗需要迅速开始。

持续咳嗽的原因有很多。