放射诊断技师为病人做准备,拍x光片,并根据x光片做出诊断。这些放射技师受过管理和解释x光片的训练,制定治疗计划并协助干预过程,如移除肾结石。放射诊断技师与临床医生和其他医生密切合作以协助完成任务。 大多数放射技师...
放射诊断技师为病人做准备,拍x光片,并根据x光片做出诊断。这些放射技师受过管理和解释x光片的训练,制定治疗计划并协助干预过程,如移除肾结石。放射诊断技师与临床医生和其他医生密切合作以协助完成任务。

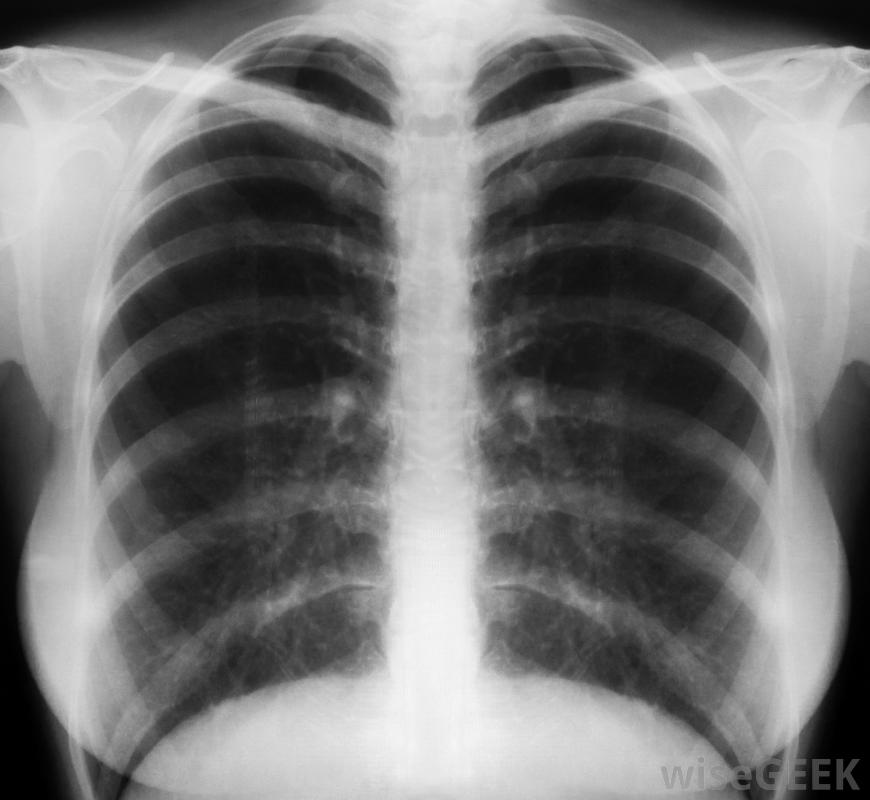
大多数放射技师都会对病人胸部和脊椎。放射诊断技师负责定位病人,安装x光机并研究结果。大多数放射技师对患者的胸部和脊椎进行x光检查。放射技师可能会与x光技师合作,以确保获得准确的结果。放射诊断技师经常使用的其他技术包括对消化系统进行拍照的透视检查,计算机断层扫描(CT)可以将身体的各个部分视为切片,磁共振成像(MRI)可以观察人体组织,超声波检查心脏循环和正常功能,血管造影可以监测血管

放射诊断技师检查X光片。要成为放射诊断技师,一个人必须受过高中教育,并完成一系列由国家放射诊断部门批准的课程课程在全国范围内的大学或医院开设,课程持续两年。完成课程后,必须通过美国放射科技术专家注册处(ARRT)的考试,才能获得放射卫生局颁发的该领域执业许可证。每两年24小时的继续教育课程必须由放射诊断技师进行。

由放射诊断技师拍摄X光片放射诊断技师可以从事医疗、保健或医院工作,通常在医院或其他医疗机构(如诊所)工作。在医院,放射技师通常在影像或放射科工作。他或她处理事故受害者,病人需要紧急护理和门诊病人。与病人护理和健康团队的合作对于提供最相关的护理是必不可少的,因此放射诊断技师应该与其他人相处融洽,并感到与团队一起工作很舒服放射诊断技师的首要任务是对患者进行初步评估。进行射线检查以确定专业护理。然后,放射技师将协助放射诊断师进行更具体的检查,高强度检查。放射诊断技师的职责是定位患者并为每次检查做好准备,这需要患者保持冷静,以便患者接受提示。放射技师还必须监控患者的变化,并将这些变化报告给放射科医生或其他医生

放射诊断技师可以使用MRI来帮助诊断疾病或损伤。