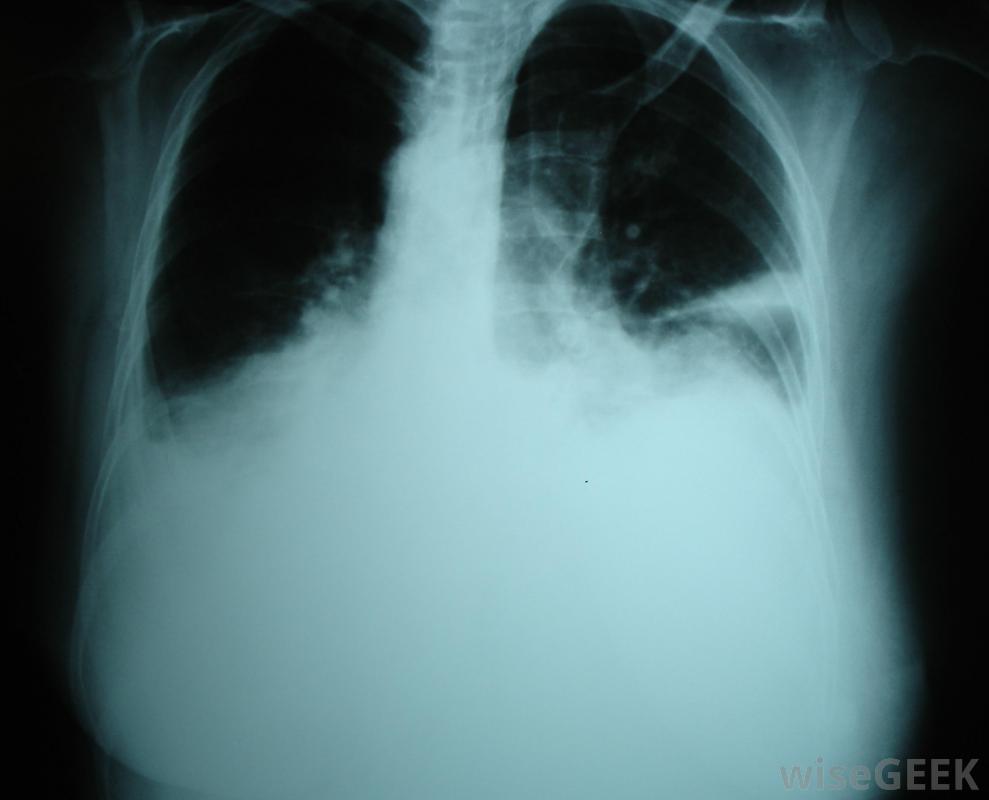
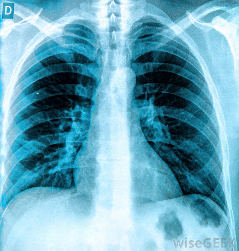
渗出性胸腔积液是一种富含蛋白质的液体在肺部周围的腔中积聚,这是由肺部及其周围组织的局部损伤引起的。这种损伤导致细胞开始渗出液体,有时非常迅速。这与渗出性胸腔积液形成对比,系统性过程使血管更具渗透性并增加压力...
渗出性胸腔积液是一种富含蛋白质的液体在肺部周围的腔中积聚,这是由肺部及其周围组织的局部损伤引起的。这种损伤导致细胞开始渗出液体,有时非常迅速。这与渗出性胸腔积液形成对比,系统性过程使血管更具渗透性并增加压力,导致水样液体开始漏入胸腔。检测可以确定是哪种积液,也可以缩小病因。

癌症、创伤,感染是胸腔积液的可能原因。癌症、外伤和感染都是渗出性胸腔积液的可能原因。在所有这些病例中,局部的细胞损伤会迫使细胞泄漏蛋白质和其他物质。虽然胸膜腔通常有一些液体来润滑肺部,但当太多液体积聚时,很难呼吸。胸部的一侧或两侧可能受累,患者通常会出现呼吸困难、奇怪的呼吸音和问题像紫绀一样,由于氧合不足,四肢开始发蓝。

可以通过X光来诊断胸腔积液医生可以插入针头或引流管来迅速缓解积液液体的样本可以被带到实验室进行分析,以了解体内发生的情况。如果是渗出性胸腔积液,那么这些样本中的蛋白质水平会很高。蛋白质和其他物质的平衡也可以为胸腔积液的病因提供线索,就像恶性胸腔积液一样渗出性胸腔积液的症状可能包括呼吸困难渗出性胸腔积液的治疗首先要排出多余的液体,这样病人就可以更容易地呼吸了。一旦病人病情稳定,就可以开始对病因进行评估和治疗。治疗方案可以包括抗生素等治疗感染,以及治疗肺部及周围的癌性肿瘤。在诊断过程中,医生可能会召集专家来咨询,因为在诊断过程中会收集到更多关于积液的信息。

肺外伤可能会在肺部周围的空腔中形成富含蛋白质的液体。

病理学家可以分析肺部周围积聚的液体,以便确定原因。