胸膜纤维化是胸膜(覆盖肺部的组织)发展成纤维组织的一种情况。在正常情况下,胸膜是一种非常柔软的粘液膜,但当胸膜纤维化发生时,胸膜变厚变硬。纤维生长是良性的,但如果广泛存在,可能会给患者带来并发症,并且可能与对患者有害...
胸膜纤维化是胸膜(覆盖肺部的组织)发展成纤维组织的一种情况。在正常情况下,胸膜是一种非常柔软的粘液膜,但当胸膜纤维化发生时,胸膜变厚变硬。纤维生长是良性的,但如果广泛存在,可能会给患者带来并发症,并且可能与对患者有害的疾病过程有关。

胸膜纤维化影响覆盖肺部的组织胸膜纤维化有多种原因,通常与石棉暴露有关,病理学家在严重情况下对胸膜进行解剖时,常常发现胸膜中嵌入石棉纤维,有时长达15年,也可能是由炎症过程、手术创伤或胸腔积液引起的。在轻度病例中,这种情况会导致小面积的纤维组织发育,这可能不会给患者带来任何问题,并且在胸部x光片上也会发现与此无关的原因

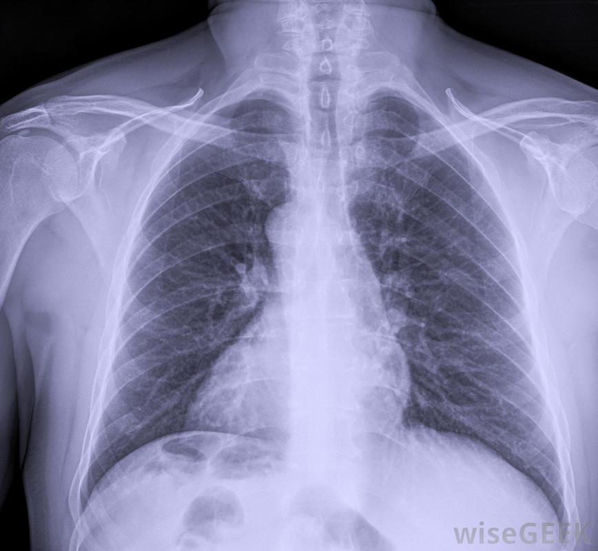
将检查胸部X光片是否有胸膜纤维化的迹象当胸膜严重时,整个肺组织会变得很致密,像是很容易膨胀的白色组织当胸膜增厚时,肺不得不更加努力地充气,最终增厚的组织会损害肺功能,使病人无法呼吸或呼吸极度困难。在这种情况下,受损的胸膜必须手术切除,这样肺部才能充气

即使是轻度病例,也经常建议进行活检,以确认生长是良性的,而不是癌症。病情严重的病人会因为呼吸困难而寻求治疗。医生可以通过胸部x光片等工具来诊断病情,对可疑组织进行活检,并听肺部的声音。即使是轻微的病例,也经常建议进行活检,以确认肿瘤是良性的,而不是癌性的,因为癌症的治疗方法与胸膜纤维化的治疗方法大不相同

随着胸膜增厚,肺不得不更加努力地充气,导致呼吸困难。胸膜中也可能出现胸膜钙化和胸膜纤维化钙化,胸膜上出现小的白色斑块。在轻度病例中,这些斑块可能没有问题,但如果它们变大、扩散,或与广泛的胸膜纤维化相关,则可引起关注纤维化也可能发生在脏器周围的粘液膜上,例如心脏和肠道。

病理学家经常在胸膜中发现石棉纤维,以防接触导致胸膜纤维化。