脑白质疏松症是一种血管密度降低的疾病,最常见于脑深部组织,这种情况往往发生在老年患者身上。患有白质疏松症的人患脑血管疾病和痴呆症的风险较高 脑白质疏松症患者患脑血管疾病和痴呆症的风险增加,这种疾病不一定存在...
脑白质疏松症是一种血管密度降低的疾病,最常见于脑深部组织,这种情况往往发生在老年患者身上。患有白质疏松症的人患脑血管疾病和痴呆症的风险较高

脑白质疏松症患者患脑血管疾病和痴呆症的风险增加,这种疾病不一定存在于患者身上,通常通过计算机断层扫描(CT)或磁共振成像(MRI)来检测到这种疾病。如果他们真的出现了,常见的症状包括身体各个部位的运动功能障碍、步态不均和认知障碍

白质疏松症通常通过老年患者的白质和大脑传播,使他们更容易患痴呆症脑白质疏松症主要在脑白质内扩散,该区域由髓鞘轴突构成,轴突是神经系统的组成部分,白质是神经连接传递的物质

吸烟的人患白质疏松症的风险更高。一些最常见的白质疏松症病因包括糖尿病、心脏病和高血压。吸烟的人患白质疏松症的风险更高这也是疾病。这些东西通过损伤大脑皮层下白质的血管而导致疾病。这种损伤通常是由于该区域在长时间内持续的紧张所导致的。

白质疏松症的病因可能包括心脏病。许多医生会建议改变白质疏松症患者的生活方式,以防止与此相关的其他疾病的发展这包括更高的心脏病发作和中风的风险。戒烟是对抗这种疾病最有效的方法之一。医生也可能建议改变饮食、运动,并且服用常规剂量的阿司匹林。

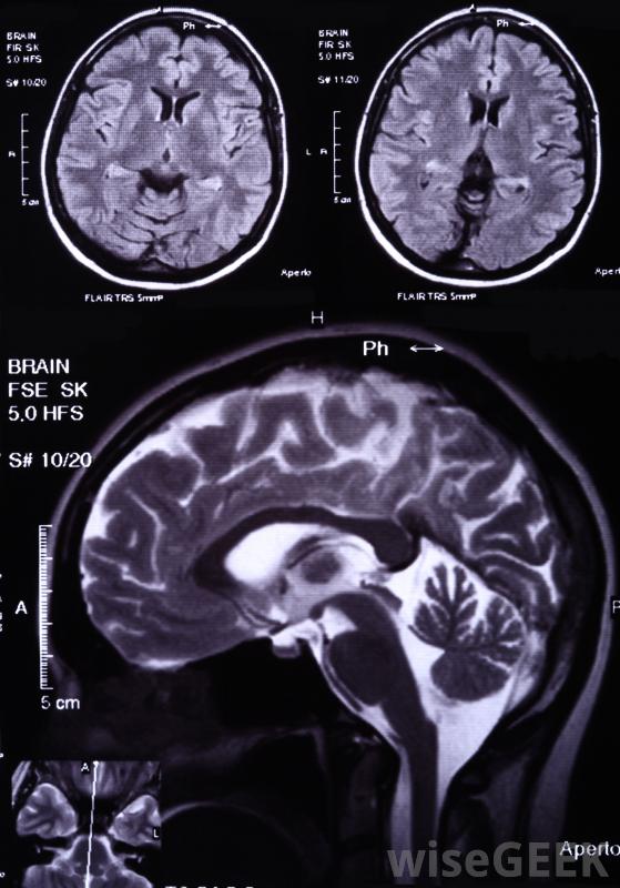
脑白质疏松症通常会在脑部核磁共振扫描中发现医生可能会向白质疏松症患者推荐其他几种检查方法。其中一些用于跟踪疾病的进展,而另一些则用于确定病情是否导致了其他问题,如该地区的血管阻塞。医生通常会定期检查胆固醇水平和血液病人的压力。其他检查可能包括颈动脉超声,压力测试,经颅多普勒检查,或者心电图检查(EKG)。

脑白质疏松症患者可能会定期进行血液筛查以检查胆固醇水平宾斯旺格病是脑白质疏松症最常见的疾病之一,是一种小血管血管性痴呆症,常在中风后出现,以精神衰退为典型特征,以奥托·宾斯旺格命名,他是1894年第一个描述这种情况的人,他的发现是脑白质萎缩会导致痴呆。

医生可以建议患有白质疏松症的人改变生活方式。