白质病变的治疗因其潜在的病因而有很大的不同。在某些情况下,病变的发生原因不明,尤其是老年人。另一些情况下,白质病变可能预示着潜在的神经系统疾病,通常需要针对诊断出的病症进行进一步的药物治疗。潜在的白质损害的原...
白质病变的治疗因其潜在的病因而有很大的不同。在某些情况下,病变的发生原因不明,尤其是老年人。另一些情况下,白质病变可能预示着潜在的神经系统疾病,通常需要针对诊断出的病症进行进一步的药物治疗。潜在的白质损害的原因包括中风、多发性硬化症和各种形式的痴呆症,比如阿尔茨海默氏症。

多发性硬化症与白质病变有关。
白质病变是大脑中发现的死亡细胞区域,主要发生在结缔组织中。当它们与其他症状一起出现时,通常表示神经系统紊乱和神经功能受损。它们在老年人中也很常见,当它们出现在很小的区域时,就被认为是正常的。然而,即使在那些没有已知疾病的患者中,损伤可能与认知功能受损、记忆问题以及与姿势和协调相关的身体功能受损有关。

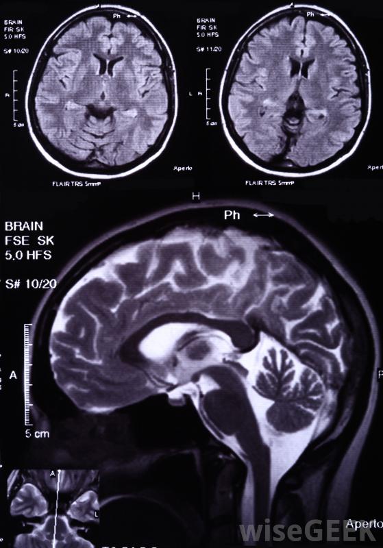
帕金森病、阿尔茨海默病和阿尔茨海默病;多发性硬化症是与白质病变有关的一种特殊的健康状况,它与白质病变有关。大多数情况下,首先注意到额外的症状,导致磁共振成像(MRI)扫描发现病变。它们通常在屏幕上显示为白色或非常浅灰色,尽管其名称实际上来源于浸泡在甲醛中的脑组织的颜色。这种情况的治疗通常包括减缓疾病进展的药物

阿尔茨海默病和阿尔茨海默病和其他退行性疾病有关联同样与大脑损伤有关。这些情况会影响身体的功能。帕金森氏症通常会导致颤抖、瘫痪,最终导致死亡,因为身体"忘记"了如何走路、思考、进食,阿尔茨海默病是痴呆症的一种形式,最终导致患者丧失所有认知功能。这两种情况通常都是通过药物治疗或联合用药来减缓病情恶化的。

帕金森氏病和阿尔茨海默病可以通过多种药物联合治疗来减缓病情的发展。
由白质病变引起的疾病通常是无法治愈的治疗的主要形式是用处方药来对抗症状和减缓病情的进展。有时病人可能同时服用几种药物。在某些情况下,就像许多多发性硬化症患者一样,病情的发展会自行停止。不知道为什么会发生这种情况,患者可能会进出在他们的一生中几次缓解。

白质病变在老年人中尤为常见。

脑白质病变很可能在MRI扫描中发现。