卡介苗(BCG)是结核病高发国家常用的一种结核病疫苗。疫苗是由与引起结核病的细菌相似的少量活菌制成的。接种卡介苗后感染结核病的人通常会很好很快,因为疫苗可以防止结核杆菌在体内传播。 一个接受卡介苗接种的病人在结...
卡介苗(BCG)是结核病高发国家常用的一种结核病疫苗。疫苗是由与引起结核病的细菌相似的少量活菌制成的。接种卡介苗后感染结核病的人通常会很好很快,因为疫苗能阻止结核杆菌在体内传播。

接种了卡介苗的患者在结核病皮肤测试中会返回假阳性。
卡介苗自1921年开始使用,对控制结核病非常有效研究各不相同,但大多数研究表明,在56%到80%之间的有效性,并且当给幼儿接种时可能高达100%。有不同类型的卡介苗疫苗,它们来自不同的牛分枝杆菌菌株。

对幼儿进行卡介苗接种时,其有效率可达100%。
结核病检测呈阴性且生活在经常接触结核病的地区的儿童应接种卡介苗。这对于异烟肼-抗利福平肺结核很常见。如果医护人员持续接触结核病并有可能被感染,他们可能需要接种疫苗。

在结核病高发地区使用卡介苗。
大多数人没有出现阴性反应对卡介苗的反应注射最常见的副作用包括肌肉酸痛和在注射部位附近形成小脓疱。这些副作用通常会自行消除,但可能会持续数月。注射部位可能会留下永久性疤痕。虽然很少见,但有些人在数月或数年后就会感染可能导致骨损伤的疫苗接种。

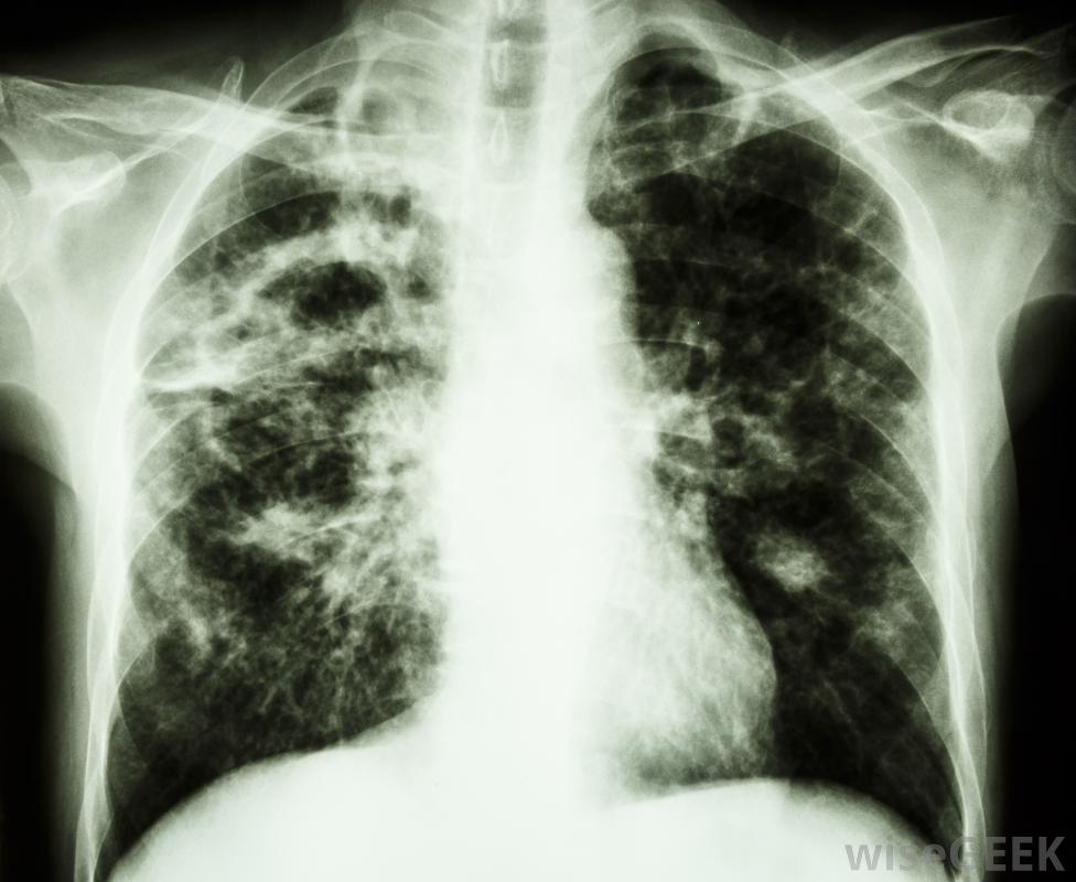
导致结核病的细菌种类生长缓慢且对治疗具有耐药性。
某些人由于潜在的并发症而不应接种卡介苗。目前还不知道疫苗是否会伤害子宫内的胎儿,因此,孕妇不应接种疫苗。由于疫苗携带少量活菌,由于艾滋病毒或其他疾病导致免疫系统低下的人或最近接受器官移植的人不应接种疫苗,因为他们可能会患上重病。
接受卡介苗接种的人可能会出现错误当他们接受结核菌素皮肤测试时,测试呈阳性。这会使医生很难确定个人是否真的感染了结核病,或者皮肤测试的反应是否来自疫苗接种。对接种过疫苗的人进行结核病血液检测更准确,因为疫苗不会导致血液检测呈假阳性。

结核病是一种传染性疾病,可能导致淋巴结肿大。