石棉的危害包括间皮瘤、肺癌、石棉肺和其他癌症。接触石棉通常发生在工作场所或家中,因为石棉已被用作锅炉、热水管和蒸汽管的隔热材料。一些天花板瓷砖、地板砖、油漆、塑料和粘合剂也含有石棉 石棉会导致严重的健康...
石棉的危害包括间皮瘤、肺癌、石棉肺和其他癌症。接触石棉通常发生在工作场所或家中,因为石棉已被用作锅炉、热水管和蒸汽管的隔热材料。一些天花板瓷砖、地板砖、油漆、塑料和粘合剂也含有石棉

石棉会导致严重的健康问题,并可能导致肺癌,美国环保署和国际癌症研究机构已将石棉列为导致人类癌症的物质,这意味着任何含有这种矿物的材料都是潜在的石棉危害。在美国,环境保护署(EPA)于1989年禁止了所有石棉的新用途

与石棉接触相关的健康风险意味着在进行石棉清除时,安全预防措施是至关重要的措施间皮瘤是各种石棉危害中最常见的一种。它是一种致命的癌症,发生在肺、腹部的内壁,或者心脏。一些接触石棉的人会在不止一个地方发生间皮瘤。根据美国国家癌症研究所的数据,在70%到80%的病例中,接触石棉是导致间皮瘤的主要原因

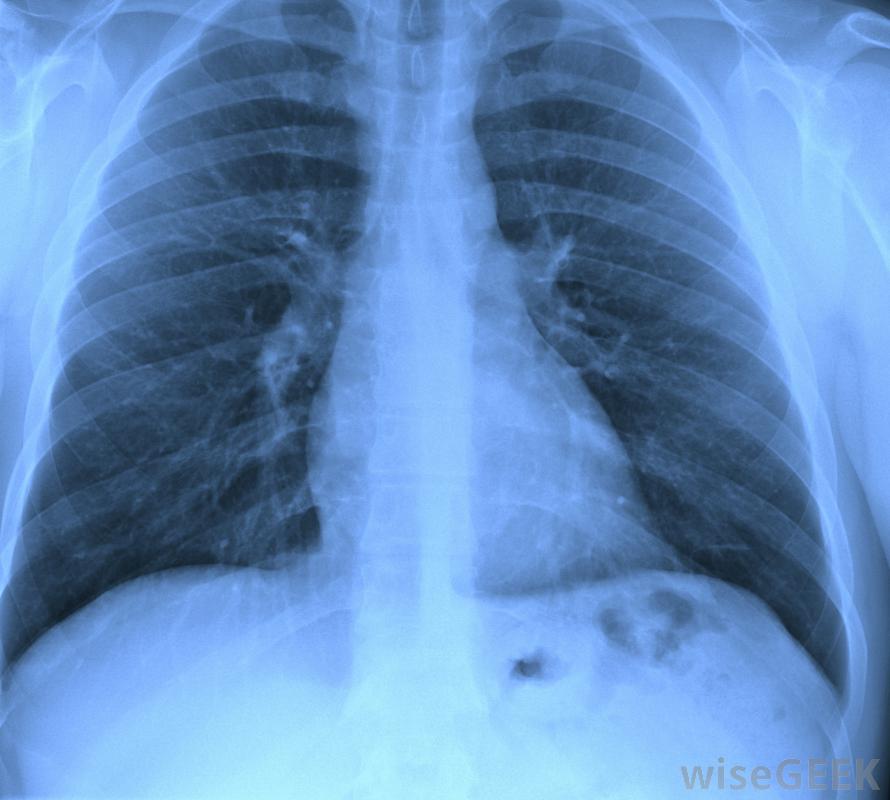
一些天花板瓷砖含有石棉。另一种健康状况是最常见的石棉危害之一是肺癌。肺癌通常是致命的。肺癌的总体五年生存率1995年至2002年的癌症发病率仅为15%,接触石棉而形成胸膜斑的人患肺癌的风险比不接触石棉的人高,胸膜斑是在壁上形成的疤痕组织带由于吸入石棉纤维,吸入的石棉纤维被困在肺部并积聚,造成肺部疤痕并导致呼吸困难。石棉肺是一种因吸入石棉而引起的肺部炎症性疾病。它会导致咳嗽、气短,以及永久性肺损伤。石棉肺可以发展多年而无症状,尽管x光可以在早期发现石棉暴露对肺的损害。根据国际癌症研究机构的报告,石棉肺的相关研究危害已经显示出足够的证据表明接触石棉的人患胃肠道癌和喉癌的风险增加。接触石棉的人患喉癌、食道癌、结肠癌的风险更大,在一些研究中,与石棉危害有关的其他癌症包括卵巢癌和肾癌虽然这些研究没有提供足够的证据证明石棉暴露与这些癌症的诊断直接相关,接触石棉的人患喉癌的风险更大。

接触石棉的人患喉癌的风险更大。