bunion手术有很多种。事实上,据估计有100多种。其中一些手术是为了去除骨头,而另一些则是用来重新排列组织。没有一种手术在所有情况下都能起到最好的效果。有些外科医生对同一个人的脚进行不止一种手术 根据患者的特殊...
bunion手术有很多种。事实上,据估计有100多种。其中一些手术是为了去除骨头,而另一些则是用来重新排列组织。没有一种手术在所有情况下都能起到最好的效果。有些外科医生对同一个人的脚进行不止一种手术

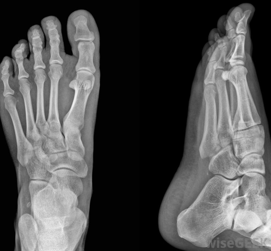
根据患者的特殊情况,可以使用x光片检查囊肿,外科医生可能会发现有必要切除从脚部侧面凸出的骨块。这种手术被称为束膜切除术,它可以去除隆起部分,但不能固定患者的大脚趾的位置。有时,外科医生会从患者的大脚趾上取下整块骨头。这种手术被称为截骨术,用于矫正患者的大脚趾或大脚。在这种情况下,外科医生可能会使用特殊的装置,比如螺丝钉或金属丝,为了在愈合过程中保持骨骼的稳定。

穿高跟鞋可能会导致发炎有时外科医生认为在布尼昂手术中需要重新调整患者大脚趾周围的韧带,这种手术是为了调整患者大脚趾关节周围的韧带,这些韧带要么变得比正常人松,要么比正常人更紧当这种情况发生时,患者的大脚趾会错位,向患者其他脚趾的方向移动。重新调整韧带可以固定移位。

取决于手术类型,手术后的恢复可以持续几个月。在某些情况下,在bunion手术中,可能需要移除患者第一个跖骨末端的骨头。跖骨是足部的长骨之一。第一个跖骨与跖趾关节相连,跖趾关节是人的大脚趾底部的关节。在取出所需数量的骨后,外科医生随后会重塑受影响的骨骼,包括大脚趾骨。

患有束神经痛的人可以在晚上戴上特制的夹板在一些bunion手术过程中,外科医生可能会切除患者的一部分脚趾关节,然后将剩下的部分融合在一起。在其他情况下,在受损关节处插入一个或多个人工关节。这些人工关节通常是由塑料制成的

有些外科医生必须对同一人的足部进行不止一种的手术才能治疗囊肿无论病人接受哪种类型的囊肿手术,患者通常会有较长的恢复期。有些类型的囊肿手术涉及更多的人的软组织或骨组织,需要更长的愈合时间。根据血囊炎手术的类型,患者可能需要六周的恢复时间,而其他患者则需要最多6周的恢复时间手术刀是一种小而锋利的刀,在外科手术中用来做切口

有几十种可能的手术来移除一个囊膜炎。