肘关节炎是指由肘关节炎症引起的一种疾病。通常情况下,这种情况会导致肿胀、疼痛和活动受限。此外,早晨僵硬和无法伸直肘部也可能存在。通常,肘关节炎最常见的原因之一是类风湿性关节炎。通常,损伤和骨关节炎也可引起肘关...
肘关节炎是指由肘关节炎症引起的一种疾病。通常情况下,这种情况会导致肿胀、疼痛和活动受限。此外,早晨僵硬和无法伸直肘部也可能存在。通常,肘关节炎最常见的原因之一是类风湿性关节炎。通常,损伤和骨关节炎也可引起肘关节炎,但症状和表现相似。

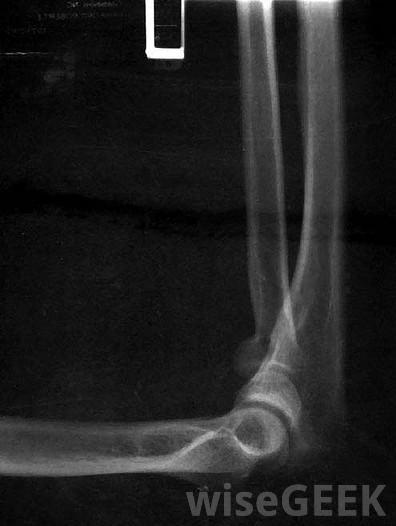
肘关节炎是肘关节的炎症一般来说,诊断肘部关节炎要看体格检查和完整的病史。体格检查可能会发现肘关节肿胀和压痛,以及发红和发热。除了体格检查外,一般情况下,在肘关节炎的情况下,x光可以显示关节变窄、身体松动或骨质疏松。偶尔,当关节炎是由损伤引起时,x光可能表明肘关节骨连接不当

肘部x光片可用于诊断肘关节炎。肘关节炎的非手术治疗通常包括活动受限,疼痛管理和物理治疗。常用的药物包括消炎药、对乙酰氨基酚和皮质类固醇有时,建议使用抑制免疫系统的药物和抗疟疾药物。物理疗法可以有效地减轻疼痛和恢复活动能力。对受影响的关节进行冷或热疗法,加上治疗性锻炼,通常可以显著恢复活动范围

物理疗法是治疗肘关节炎的常用方法。偶尔,当非手术治疗无效时,外科手术可能是必要的。一种能有效缓解肘关节炎症状的外科手术是滑膜切除术,即切除受影响的滑膜。另一种常见的手术是关节镜手术,这需要使用小器械通过一系列小切口取出病变碎片。这种微创手术大大缩短了恢复时间,降低了感染的风险。一般来说,肘关节炎的非手术治疗可以有效地减少症状,但是,因为它可能是一种慢性疾病,关节炎治疗可能需要持续进行。在病情发作期间,经常建议减少活动,因为不这样做可能会导致病情恶化,通过适当的医疗管理和干预,肘关节炎通常可以很好地耐受,有时甚至没有症状由于其他的医学状况可以模拟肘部关节炎的症状和表现,所以做出明确的诊断是很重要的。当诊断有问题时,可能需要进一步的评估,如血液检查。某些疾病,如痛风,可以伪装成肘关节炎,当痛风出现时,血液检测常显示尿酸水平升高。尿酸水平升高会导致关节疼痛,包括肘部和脚趾。

肘关节。