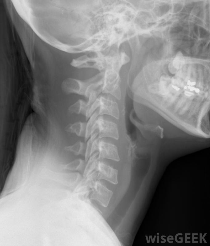
颈部脱臼的椎间盘,有时称为滑脱的颈间盘或突出的颈间盘,是指颈部脊柱间的椎间盘破裂。破裂的颈间盘从正常位置突出,压迫脊柱内的神经。视破裂程度而定,椎间盘脱臼引起的颈部疼痛可能从中度到重度不等。 颈部X光片,包括颈椎...
颈部脱臼的椎间盘,有时称为滑脱的颈间盘或突出的颈间盘,是指颈部脊柱间的椎间盘破裂。破裂的颈间盘从正常位置突出,压迫脊柱内的神经。视破裂程度而定,椎间盘脱臼引起的颈部疼痛可能从中度到重度不等。

颈部X光片,包括颈椎脊柱的骨头称为椎骨,从颅底向下延伸到骨盆。每根椎骨之间都有小而软的软骨盘,里面充满胶状的核组织。这些椎间盘缓冲着脊椎,颈椎间盘突出防止骨头摩擦并允许灵活的身体运动。椎间盘脱臼时,一个或多个颈椎间盘会从其位置凸出。通常颈椎间盘和脊髓之间存在少量间隙,但严重的颈间盘脱位会使椎间盘压在敏感的脊神经。

从台阶上摔下来会导致颈部椎间盘脱臼造成颈椎间盘脱位的原因多种多样,事故或跌倒造成的外伤性脊椎损伤可能会震伤脊椎,削弱支撑脊柱和椎间盘的肌肉重复性劳累或过度用力可能导致颈部损伤,导致椎间盘脱臼。退行性或先天性疾病,如脊柱侧凸和椎管狭窄,可能影响脊柱和颈椎间盘。

脱位椎间盘是指脊柱椎间盘的破裂。颈部椎间盘脱臼的症状包括颈部或手臂的剧烈疼痛,颈部椎间盘滑脱压迫着颈椎神经。麻木,可能会出现刺痛和肌肉无力。大多数情况下,脱臼的椎间盘会自行愈合。医学专业人士可能会开止痛药和休息。

脊柱的骨头(称为椎骨)从在严重的颈椎间盘损伤或颈椎退行性疾病中,椎间盘的核组织被压缩或干燥。椎骨相互摩擦,引起炎症和极度疼痛。在这种情况下,可能需要类固醇疼痛治疗或脊柱手术。

颈部椎间盘脱臼可能会导致严重疼痛

凝胶包可用于缓解颈部椎间盘脱臼引起的疼痛。