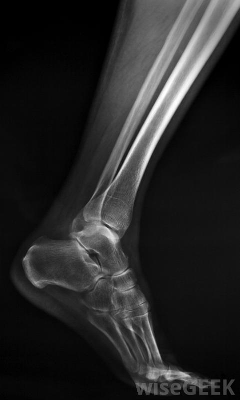
踝关节融合术是一种将小腿胫腓骨和踝关节距骨的关节融合在一起的手术,这种手术通常用于治疗严重的踝关节疼痛,通常是由关节炎引起的。它通常只适用于那些尝试过非手术治疗的患者,例如经过特殊改造的鞋子和止痛药,但没有成...
踝关节融合术是一种将小腿胫腓骨和踝关节距骨的关节融合在一起的手术,这种手术通常用于治疗严重的踝关节疼痛,通常是由关节炎引起的。它通常只适用于那些尝试过非手术治疗的患者,例如经过特殊改造的鞋子和止痛药,但没有成功。踝关节融合通常用于年轻、活动更活跃的患者,作为人工踝关节置换术的替代方案,因为融合的关节更多踝关节融合术是距骨与胫腓骨之间的关节融合的一种手术踝关节融合术包括将踝关节距骨与小腿胫骨和腓骨的末端固定在一起。在将骨头表面整平以去除受损的骨和软骨后,金属螺钉是用来将它们固定在一起的。作为愈合过程的一部分,新骨的形成将切割面结合并融合关节。踝关节随后变得僵硬,但脚和膝盖的柔韧性有助于弥补这一点,尽管跑步可能无法进行,但患者通常能够正常行走关节融合术后,通常需要三个月左右才能完成融合,因此关节需要休息,在此期间可能需要戴石膏

踝关节融合术后,患者需要支撑石膏并使用拐杖。锁孔手术可用于踝关节融合术,其优点是恢复更快,与传统的开放式手术方法相比,术后疼痛减轻。在一种被称为关节镜的锁孔手术技术中,在踝关节的皮肤上做一些小切口,以便将观察仪器和微型手术工具一起插入关节。患者通常能够在一天内将体重放在关节上手术后,使用支撑石膏或拐杖,并开始理疗。开放手术可用于更复杂的病例,可能除了关节融合术外,还需要矫正畸形,有时会在腿部周围固定一个外部金属框架,以固定骨骼,而不是在关节内放置螺钉

治疗踝关节疼痛通常需要医生的正确诊断踝关节融合术是指在融合的脚踝周围的其他关节上施加额外的压力,随着时间的推移,可能会导致关节炎。对于一个患有两个脚踝关节炎的人来说,如果两个脚踝都融合在一起,可能会非常残疾,因为从椅子上起来需要一定程度的踝关节柔韧性在这种情况下,关节置换可用于一个踝关节,对于不太活跃或年纪较大、不太可能磨损假体的人来说,踝关节活动性可能比关节稳定性更重要,而人工踝关节置换术可能是比踝关节融合术更好的选择

由于踝关节(由胫骨和距骨组成),脚能够旋转,与腓骨远端一起。

更复杂的踝关节融合术将是开放性手术,患者恢复时间较长。