胸膜穿刺是从肺衬里和胸壁之间的空隙中取出液体样本的过程。肺衬里是一层双层膜,被称为胸膜膜,包围并支撑着器官。胸膜穿刺是作为诊断过程的一部分或作为移除的治疗从肺部流出的液体。这个过程也称为胸腔积液抽吸、胸腔...
胸膜穿刺是从肺衬里和胸壁之间的空隙中取出液体样本的过程。肺衬里是一层双层膜,被称为胸膜膜,包围并支撑着器官。胸膜穿刺是作为诊断过程的一部分或作为移除的治疗从肺部流出的液体。这个过程也称为胸腔积液抽吸、胸腔穿刺或胸腔穿刺术。

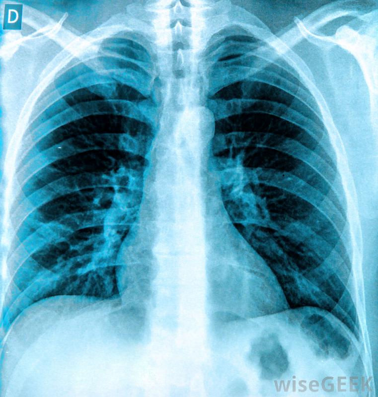
可以通过X光片来诊断胸腔积液在健康的肺中,胸膜膜层之间很少有液体。过剩的液体通常是由创伤或某种疾病引起的,如癌症、感染或心力衰竭。在这种情况下,胸膜穿刺是一种诊断方法,抽取液体样本并检测是否存在细菌,病毒或其他提示液体积聚原因的线索。

胸膜穿刺手术的常见风险包括在手术过程中或之后咳嗽或晕倒这种方法也可以用于治疗某些疾病的症状。例如,一种叫做胸膜间皮瘤的癌症会导致胸膜间积液,这种积水称为胸膜渗出,引起不适,呼吸困难胸膜穿刺术是一种治疗方法,可以清除液体,帮助患者呼吸更轻松。

在健康的肺中,胸膜膜层之间几乎没有液体为了准备手术,病人通常会坐在椅子上或床沿上,病人必须靠在桌子上休息,胸部和头部放在桌面上。病人的背部经过清洗和消毒,以防止感染,然后在穿刺部位注入局部麻醉剂。

胸膜穿刺是一种从肺衬里和胸壁之间的空隙中取出液体的手术在胸腔积液穿刺过程中,将一根细长的针穿过皮肤插入胸膜膜之间的空隙,将液体样本吸入针头中。当针头就位时,患者不要移动、咳嗽或深呼吸,以防止可能导致肺损伤的突然运动。如果测试是作为诊断过程的一部分进行的,则液体样本将在实验室中进行测试,以确定恶性细胞、微生物和蛋白质,从而提供诊断线索胸膜穿刺手术有几个风险。最常见的风险是在手术过程中或之后咳嗽或晕倒。不常见的风险包括肺部疼痛、肺部塌陷和肺部积液。非常罕见的风险包括附近器官(如脾脏或肝脏)受损和胸腔出血空腔。一般来说,接受这种手术的人会在术后立即进行胸部X光检查,以确保肺部不会被针头损坏。

胸膜穿刺后可立即进行胸部X光检查以确保肺部没有受损。