脑瘤化疗的利与弊因癌症的分期和肿瘤的类型而不同,其益处可能包括延长寿命或癌症在治疗后逐渐缓解,尤其是与其他治疗方法相结合时,缺点包括化疗不适合于许多类型的脑瘤,而且对于早期肿瘤也不是一种有效的治疗方法。非癌性...
脑瘤化疗的利与弊因癌症的分期和肿瘤的类型而不同,其益处可能包括延长寿命或癌症在治疗后逐渐缓解,尤其是与其他治疗方法相结合时,缺点包括化疗不适合于许多类型的脑瘤,而且对于早期肿瘤也不是一种有效的治疗方法。非癌性肿瘤通常不采用化疗,尤其是当肿瘤没有生长或引起任何严重问题时。

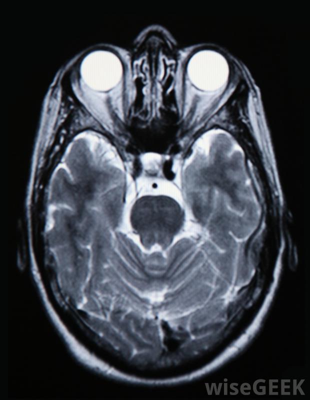
脑部扫描将显示肿瘤的位置,并帮助确定是否需要化疗使用化学疗法治疗脑瘤不像其他潜在的治疗方法那么普遍,原因有几个。大脑有一种保护机制,可以将化学物质和其他毒素排除在外。这在大多数情况下是有益的,但它也能阻止化疗药物进入脑瘤,非癌性肿瘤通常从不接受化疗,恶性肿瘤通常只有在进展后才使用药物治疗

由于每个患者的身体反应不同,因此无法预测化疗在对抗脑瘤方面的有效性有时,脑肿瘤的化疗是有益的,特别是当与其他治疗恶性肿瘤的药物结合使用时,尤其如此。新的药物正在开发中,专门针对某些类型的细胞。有些药物可以在需要的地方直接注射,而另一些则是设计用来治疗的阻止某些类型细胞或组织的生长。

化疗通常在输液中心进行,在那里训练有素的专业人员可以观察不良反应用化疗治疗脑瘤的主要缺点是它通常不如其他替代疗法有效。很多时候肿瘤必须通过手术切除。然后是放射治疗,它的目的是帮助缩小任何现有的肿瘤组织和杀死癌细胞。有时化疗是在这些治疗完成后使用的,但并非所有类型的肿瘤都对药物有反应。这意味着它们对某些肿瘤根本不是一个好的选择,即使是在疾病的晚期

大脑有一层保护膜,可以阻挡化学物质和毒素,从而阻止药物进入脑瘤为了确定使用化疗治疗脑瘤是否是一个好的选择,必须对大脑进行扫描,以确定肿瘤的位置和肿瘤的大小。可能要做一些测试来确定肿瘤是否是癌性的。如果不是,那么它们就很小,不会影响脑功能,医生们可能会采取观望的态度,仔细观察肿瘤的生长情况。如果发现有癌变,可以通过手术和放疗来切除或缩小肿瘤。

而化疗可以用来缩小肿瘤,许多脑肿瘤必须手术切除。

在大多数情况下,良性脑肿瘤不需要化疗。