脚趾上的骨刺最常见的症状是什么(Most Common Symptoms of a Bone Spur on the Toe)?

骨刺,也被称为骨赘,可以发生在骨骼系统的任何地方,但在脚中很常见。脚趾或脚后跟上的骨刺可能是由于周围韧带或软骨的损伤或外伤,或者是由于老化和使用的自然结果。它们可能是由于骨的过度生长引起的,通常是在两块骨头相遇...
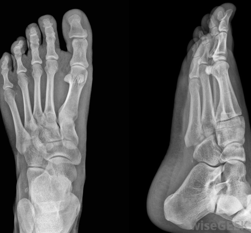
骨刺,也被称为骨赘,可以发生在骨骼系统的任何地方,但在脚中很常见。脚趾或脚后跟上的骨刺可能是由于周围韧带或软骨的损伤或外伤,或者是由于老化和使用的自然结果。它们可能是由于骨的过度生长引起的,通常是在两块骨头相遇的关节处脚趾骨刺的症状可能是患处疼痛、肿胀或触痛骨刺可发生在任何脚趾上,但最常见于第五脚趾。在许多情况下,脚趾上的骨刺可能没有任何症状。在某些情况下,患处确实会疼痛。骨赘引起的疼痛不是由"骨刺"本身引起的,但由于与另一块骨头、神经或软组织的摩擦而产生。在极少数情况下,骨刺可能会折断,卡在关节之间,从而导致关节不能活动。可以使用x光片来确认骨刺。治疗脚趾上的骨刺的方法包括抗炎药物治疗、物理治疗和用特殊的靴子或脚支撑暂时静止不动。如果这些措施结合起来不起作用结果是,如果疼痛是慢性或严重的,或者影像学检查显示周围神经、韧带或肌腱受损,则可能需要手术。脚趾骨骨刺的手术通常很简单,可能需要用手术缓冲液抚平骨刺,并移除全部或部分趾甲在某些情况下,骨刺是慢性脚痛的根本原因。在许多情况下,脚趾上的骨刺没有任何症状如果疼痛很小或没有疼痛,除了通过限制身体活动暂时让脚休息之外,可能没有什么需要做的。穿着舒适、合脚、不扭伤脚趾的鞋子也有助于减轻由骨刺引起的轻微不适患有骨刺的人在上下楼梯时可能会有困难。骨刺最常见于第五趾,尽管它们中的任何一个都可能发生脚趾上的骨刺可能需要手术,尽管手术通常很简单。
  • 发表于 2020-07-24 23:47
  • 阅读 ( 1231 )
  • 分类:医疗卫生

你可能感兴趣的文章

相关问题

0 条评论

请先 登录 后评论
admin
admin

0 篇文章

作家榜 »

  1. xiaonan123 189 文章
  2. 汤依妹儿 97 文章
  3. luogf229 46 文章
  4. jy02406749 45 文章
  5. 小凡 34 文章
  6. Daisy萌 32 文章
  7. 我的QQ3117863681 24 文章
  8. 华志健 23 文章

推荐文章

联系我们:uytrv@hotmail.com 问答工具