在人体解剖学中,颈椎是脊椎的上部,从头骨的正下方开始,止于胸椎的顶部。七个椎骨和分隔它们的椎间盘组成了这个区域,并以拉丁语单词"颈部"或"颈部"来统称。这些椎骨被命名为C1到C7就像向后的C,形成前凸曲线。脊柱的腰椎部...
在人体解剖学中,颈椎是脊椎的上部,从头骨的正下方开始,止于胸椎的顶部。七个椎骨和分隔它们的椎间盘组成了这个区域,并以拉丁语单词"颈部"或"颈部"来统称。这些椎骨被命名为C1到C7就像向后的C,形成前凸曲线。脊柱的腰椎部分形成一个类似的曲线,而脊柱的胸椎和骶骨区域形成后凸曲线。正是这种相反的曲线结构有助于分配机械应力,不断地冲击脊柱

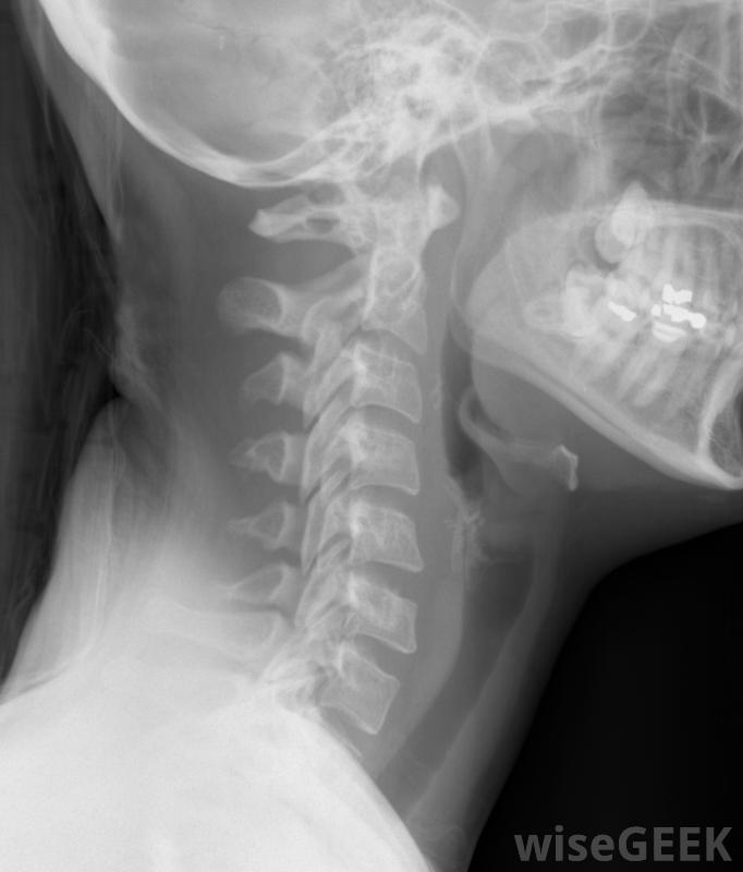
包括颈椎在内的颈部X光片。包括哪些内容这个区域作为一个整体有时可以被认为是颈部和上半身,至少就脊柱而言是这样的。因此,它由几个重要的组成部分组成:比如韧带、肌肉和关节。神经系统起着重要的作用,不仅所有的肌肉和关节都有神经末梢,脊柱也是人体许多最大神经的通道和保护鞘,作为外周神经系统的枢纽,第一块椎骨,阿特拉斯椎骨,以神话中的地图集命名鉴别椎骨颈椎区域的椎骨不同于其他脊椎区域的椎骨,因为每个区域都有向大脑输送血液的开口。重要的是,前两块椎骨的形状不同于另一块椎骨。第一块椎骨或C1椎骨支撑着头部的重量,并允许弯曲和伸展。这第一块椎骨有时也被称为阿特拉斯椎骨,以希腊神话中的泰坦命名,他在阿特拉斯山上的栖身之地支撑着天空

如果颈部有任何不适,应咨询医生。该医生位于地图集的正下方椎骨是轴心椎骨,有时也被称为C2。轴心的一部分,叫做齿状突,向上延伸到寰椎,允许寰椎围绕它旋转。这种结构使头部能够左右转动。然而脊柱胸椎和腰椎区域的椎骨由椎间盘隔开,椎间盘是一种海绵状的垫,可以移动并充当减震器,这两个椎骨通过韧带连接在一起允许旋转。

颈部疼痛可能表示脊椎严重退化随着年龄的变化几乎一半的成年人口在50岁的时候会出现颈椎区域的变化,这通常归因于随着时间的推移而恶化和压力。磨损最常见的表现为椎间盘塌陷或突出,也称为椎间盘突出椎间盘破裂或滑脱。这些通常会导致疼痛和僵硬,最常见于下背部,但也可能位于颈部。疼痛通常在早晨或突然站立并与脊柱接触时最严重,但随着时间的推移,疼痛往往会变得或多或少

颈部的磨损通常表现为椎间盘突出、关节炎、损伤,或者外伤也可能是这些症状的原因,骨质疏松症(骨质疏松症,骨质疏松症)通常也会导致颈椎并发症。即使是简单的颈部疼痛,也可能预示着严重的脊椎退行性变、错位和感染。一旦出现这种情况,通常应咨询医生为了诊断严重的问题并尽快开始治疗或治疗方案,上背部或脊柱其他部位持续不适。

几乎一半的成年人口在50岁时的宫颈区域在妇女健康的不同含义在妇女健康领域,术语"宫颈面积"也可以用来描述宫颈本身,作为产道的生殖系统的一部分;大多数时候,医学专业人员只是简单地用名字来称呼子宫颈,术语上的相似性可以追溯到词的起源,女性宫颈就像一个连接外阴道和子宫及内生殖道的颈部

如果颈部韧带磨损或损坏,可能会导致严重的颈部疼痛。