如何选择最好的颈椎病治疗方法(Choose the Best Cervical Spondylosis Treatment)?

颈椎病通常可以通过改变生活方式等保守措施进行治疗,体育锻炼,有时使用非甾体抗炎药(NSAIDs)。只有在严重的情况下,这些保守措施没有反应,才需要手术。每个病人最好的颈椎病治疗应该由医学专家根据患者的临床病史来选择 阿...
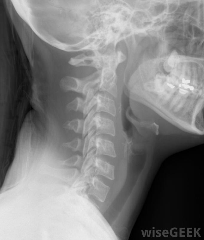
颈椎病通常可以通过改变生活方式等保守措施进行治疗,体育锻炼,有时使用非甾体抗炎药(NSAIDs)。只有在严重的情况下,这些保守措施没有反应,才需要手术。每个病人最好的颈椎病治疗应该由医学专家根据患者的临床病史来选择阿米替林通常用于治疗抑郁症,但在治疗颈椎病时也被证明是有效的颈椎病表现为颈肩痛,多为脊椎骨因磨损而自然老化所致,多见于55岁以上人群,骨质磨损、椎体间垫或椎间盘退变,可能会引起疼痛。更严重的情况下,神经根可能会受到压迫,非常严重的情况下可能会累及脊髓,可能影响手臂和腿部。颈部X光片,包括颈椎颈椎病最好的治疗方法应该根据症状来制定,通常症状会自行消失,但复发是常见的最初的症状通常是颈部和肩部疼痛,可以通过布洛芬等非甾体抗炎药和/或肌肉松弛剂(如环苯扎滨)进行急性治疗。阿片类药物可能需要在急性疼痛的情况下使用,但由于这些药物有滥用的可能,因此不鼓励长期使用严重的颈椎病患者可使用加巴喷丁治疗,最好的颈椎病治疗方法可能是长期使用小剂量阿米替林。一些研究表明,其他用于治疗慢性疼痛的药物,如普瑞巴林、加巴喷丁和度洛西汀都是有效的。在无反应的情况下,医生可能会推荐手术作为颈椎病的治疗方法。颈神经根病就是手术在被挤压的神经上进行预处理,以释放神经。颈椎病的外科治疗很少见,由于这种情况通常治疗得比较保守。按摩可能有助于减轻颈椎病带来的疼痛通常,颈椎病的治疗包括改变生活方式和锻炼等非药物措施。消除诸如剧烈运动或剧烈运动、办公室不良姿势或反复劳累等诱因是至关重要的。通常建议使用颈托或牵引固定颈部低冲击运动,如散步或游泳是非常有益的。针灸可能有助于减轻颈椎病带来的疼痛理疗师或理疗师可以推荐颈部和肩部强化运动。按摩,针灸和热敷或冷敷也有助于减轻疼痛。任何手法或运动都应小心进行,如果引起疼痛加剧,应停止。在大多数情况下,遵循保守的建议可以解决颈椎病颈椎病表现为颈肩部疼痛。颈椎病的治疗可能需要手术颈椎病引起的疼痛可以通过使用凝胶包暂时缓解。患者患有颈椎病的患者应咨询医学专家,确定最佳治疗方案。
  • 发表于 2020-07-22 21:38
  • 阅读 ( 703 )
  • 分类:医疗卫生

你可能感兴趣的文章

相关问题

0 条评论

请先 登录 后评论
admin
admin

0 篇文章

作家榜 »

  1. xiaonan123 189 文章
  2. 汤依妹儿 97 文章
  3. luogf229 46 文章
  4. jy02406749 45 文章
  5. 小凡 34 文章
  6. Daisy萌 32 文章
  7. 我的QQ3117863681 24 文章
  8. 华志健 23 文章

推荐文章

联系我们:uytrv@hotmail.com 问答工具