脚趾应力性骨折的症状是什么(Symptoms of a Toe Stress Fracture)?

脚趾应力性骨折最常见的早期症状是受影响的附件有轻微的疼痛和无力。按压在骨折的实际部位也会很痛,虽然没有放射状疼痛。可能没有明显的骨折迹象,虽然可能有瘀伤或肿胀,但脚趾应力性骨折很难发现,因为它的症状与身体其他...
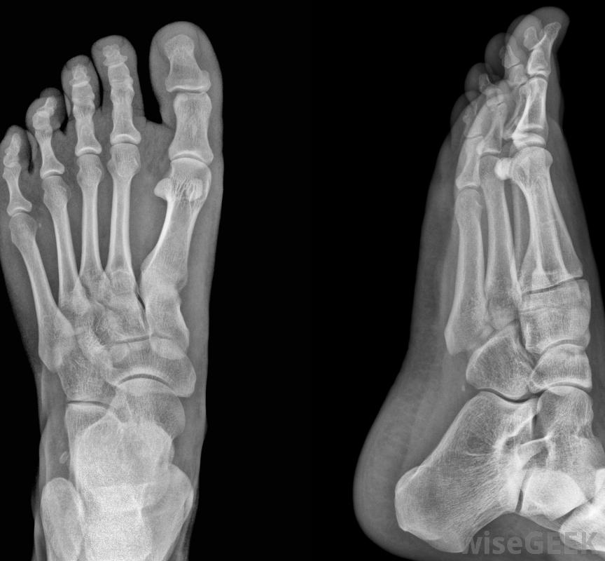
脚趾应力性骨折最常见的早期症状是受影响的附件有轻微的疼痛和无力。按压在骨折的实际部位也会很痛,虽然没有放射状疼痛。可能没有明显的骨折迹象,虽然可能有瘀伤或肿胀,但脚趾应力性骨折很难发现,因为它的症状与身体其他部位的拉伤和扭伤相似,如果不治疗,疼痛会加剧并持续,甚至可能变得更严重脚趾应力性骨折在x光片上可能看不到,脚趾应力性骨折疼痛加剧的速度取决于损伤的严重程度和程度患者正在移动。久坐的个体可能需要一些时间才能意识到疼痛是骨折。在这种情况下,最明显的症状是疼痛会持续,可能会随着休息而减轻,但永远不要完全消失,那些身体活跃的人通常会注意到疼痛会更快、更剧烈地增加,并且更容易意识到这是一种需要医疗护理的症状冰敷可以缓解脚趾骨折和其他类似的问题起初,骨折会感觉像肌肉拉伤、拉伤或扭伤。这些情况和骨折的主要区别在于,它们不会像骨骼中的细线裂开那样最终使人丧失能力。脚趾骨折晚期最终会变得疼痛不堪,无法承受任何重量脚趾应力骨折很难诊断,因为患者通常;脚趾部疼痛和疼痛难以察觉,他们可能无法在x光片上确认,有时裂口很小,直到愈合过程顺利进行时才会出现。在这些情况下,核磁共振成像或CAT扫描可以确认症状是否来自骨折足趾骨折可能导致足部无力。对于足趾应力性骨折有几种误解,可能会导致患者失去体征。其中最常见的是一个有骨折的人不能移动受影响的脚趾,尽管该区域的神经和肌肉实际上仍然可以活动。至少在受伤的早期阶段,也有可能在骨折上行走。另一个常见的误解是,必须有可见的骨折外部证据,例如该区域的瘀伤或肿胀虽然某些可见的迹象是可能的,但并不总是出现的。脚趾应力性骨折可以通过将受伤的脚趾绑在相邻的脚趾上来治疗轻度疼痛和虚弱可能是脚趾应力性骨折的症状。久坐的人可能需要很长时间才能注意到脚趾骨折。处理脚趾骨折的人可以使用拐杖帮助愈合可能需要进行CAT扫描,以检测到细微的脚趾骨折。
  • 发表于 2020-07-25 00:22
  • 阅读 ( 840 )
  • 分类:医疗卫生

你可能感兴趣的文章

相关问题

0 条评论

请先 登录 后评论
admin
admin

0 篇文章

作家榜 »

  1. xiaonan123 189 文章
  2. 汤依妹儿 97 文章
  3. luogf229 46 文章
  4. jy02406749 45 文章
  5. 小凡 34 文章
  6. Daisy萌 32 文章
  7. 我的QQ3117863681 24 文章
  8. 华志健 23 文章

推荐文章

联系我们:uytrv@hotmail.com 问答工具