影像PACS系统

影像PACS系统是从各种医学影像检查设备中获取、存储、处理影像数据,传输到体检信息系统中,生成图文并茂的体检报告,满足体检中心高水准、高效率影像处理的需要。

东西/原料

  • 下载《迅影PACS系统》

软件详情:

  1. 1

       迅影PACS系统优势:


           自立常识产权:拥有完整常识产权,可以或许同其他模块无缝对接

      国际尺度:按照国际规范DICON3.0尺度处置医学影像数据

      无缝对接:无缝对接各类体检影像查抄设备,如B超、CT、MRI、DR

      优质陈述:具有壮大的陈述模板功能,影像技师可快速生当作高质量的影像查抄陈述

      快速存取:分级存储海量影像陈述数据,撑持影像陈述的快速存取

  2. 2

    系统方针

      系统设计的方针,是为了在病院成立一套有用投入利用、切实提高病院医疗诊断程度、便利大夫工作和病人就诊、进一步提高病院经济效益的适用、进步前辈、靠得住的PACS影像中间系统,经由过程利用进步前辈的计较机手艺操纵计较机系统取代传统的胶片图像记实、胶片和陈述的库房存储、查抄图像的人工传递、在光箱上重现图片,并将各个影像科室图像毗连共享以及和临床科室的信息共享,充实阐扬数字医疗影像的临床效益,并达到以下目标:

      

          实现病院影像资本的充实共享

      充实操纵PACS收集,实现所有影像设备的集中存储和影像资料共享,以实现影像科室肆意调阅其他影像科室的影像资料和陈述资料;同时,影像资料还可以被临床科室、门诊、手术室等部分用户挪用。


      成立根本的、开放的医疗影像应用平台

      面临病院浩繁的影像设备和系统,成立病院根本的、开放的数字化影像应用平台,有用的将所有的影像设备进行互联,尤其是对诸如通俗放射设备的数字化解决方案,不仅最大水平提高了既有设备的利用价值,并且更好的阐扬了设备以及各个系统在诊断治疗过程中的所用,同时,影像的应用不再局限于影像科室,而是最大水平将影像的高效操纵延长到病院所有临床科室、手术室等


      有用提高临床医疗诊断程度

      操纵进步前辈的计较机手艺,经由过程实现影像的数字化存储、传输、浏览,为病院的临床大夫供给数字化的快速、便利、矫捷的阅片体例,从而提高诊断的准确性,降低误判、误诊的概率,防止医疗变乱的发生,同时,削减了大夫和病人取片、等片的时候,加速诊断的速度,其次,便于大夫之间进行影像的交流与共享,进一步提高诊断、治疗、科研程度。


      提高病院的经济效益

      经由过程PACS/RIS系统实现影像的数字化,可以进一步提高病院的经济效益,具体表示为:起首,提高了病院的诊断、治疗的程度,加速了诊断、治疗的速度,削减病人期待、滞留的时候,并且提高了大夫的工作效率和设备的利用效率,无形中很大的提高了病院的经济效益;其次,影像的数字化,可以削减胶片的制造、采办、利用、存放的费用,削减漏片、丢片的现象,很大水平上较着的为病院缔造了客不雅的经济效益;第三,提高了病院的声誉和吸引力,吸引更多的病人来病院治疗,从而促进病院进一步增添经济效益、扩大病院规模、提高病院整体程度。

  3. 3

    系统设计原则


      适用性:系统的设计扶植从知足当前的需求出发,尽可能选择具有最佳机能价钱比的系统硬件设备和系统软件,削减系统运行的费用。


      进步前辈性:要采用最进步前辈的软件、硬件手艺,以顺应PACS相关手艺久远成长的要求,既要知足今朝的现有需求,有要充实考虑将来的成长,同时,也要考虑其当作熟性和不变性。


      靠得住性:本系统用于关头性营业,对于系统的靠得住性有很高的要求。我们在设计中充实考虑系统的系统布局,平安的策略的方面。系统具有高靠得住性的保障办法。


      扩展性:信息时代数据呈现爆炸性的增加,整个系统的设计要充实考虑其伸缩性,一方面是系统布局的矫捷性、易扩展性,另一方面是手艺的进级性、兼容性。我们在设备的选型等方面按照现实需求,提出了合理的方案,避免盲目选择高档设备从而造当作投资华侈,也要避免设置装备摆设过低而影响利用和未来的扩充。


      平安性:因为营业系统的特别性。本系统对于平安性有比一般关头营业系统更高的要求。不仅要求整个系统能平安运转,同时要防止受病毒软件的粉碎。是以,在设计方案中要充实考虑系统的平安性,以包管系统的正常运行。


      开放兼容性:遵循开放性原则,采纳开放性的架构,选用合适国际尺度的产物,可以包管系统具有较长的生命力和扩展能力,知足未来系统进级的要求,庇护用户的资本。只有开放的系统,才能在投资规模、扩展能力等方面获得实惠。


      现实需求与潜在需求:存储系统对于存储数据的医疗系统来说,最主要的是靠得住性和适用性,除此之外,我们还考虑了用户未来的潜在需求,如收集规模扩大、应用办事增添、存储传输拥挤需进级等。在存储系统方案设计时,应充实考虑这些现实的和潜在的需求。

    END

系统流程:

  1. 1

    系统工作流程


      按照病院现有的工作流程和IHE相关的文件和建议,我们设计的PACS系统实施后的工作流程,如下图:

  2. 2

     系统数据流程


      系统的数据流程如下:

  3. 3

    查抄挂号

      可以直接挂号病人信息,也可以接管分诊台同一挂号的信息,在病人列表中选择就诊病人。输入查抄部位时,可以先选择查抄项目,这样系统会主动过滤查抄部位。(会按照查抄项目和性别进行主动过滤)。

  4. 4

     影像采集和获取


      1、 撑持以RGB、夹杂视频等多种体例及时显示影像,实现静态动态图像的采集获取。

      2、 撑持分辩率、亮度、色度、饱和度、对比度等多种视频调节体例,最大限度知足临床诊断需要。

      3、 撑持今朝绝大大都医学专用视频采集卡、兼容性强。

  5. 5

    诊断陈述办理


      u 由系统自带的一些可供大夫选择的对应各个查抄项目标诊断内容。大夫在填写诊断陈述时,可以直接在模板区选定对应查抄项目后,双击对应的“查抄所见”和“诊断提醒”内容,则系统会主动将该内容添加到陈述对应的位置上。此外还供给小我模板,可以将一些有代表性或共性的某小我的诊断陈述保留起来当作为模板,已备其他若是与此人成果近似时可以直接挪用即可。

      u 人员查询:可以操纵多种前提组合进行查抄人员信息或陈述的查看。

      u 陈述处置区:完当作陈述的保留、审核、打印、发布,追回。

  6. 6

     迅影PACS的影像加强手艺


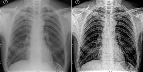
      凡是,从放射设备采集的原始图像动态规模很大,在显示设备上显示时进行的动态规模压缩大都是线性的,使得图像的细节往往不克不及知足放射医师的诊断需求,而一些非线性变换如伽马校正、直方图平衡化等也不克不及底子上改善图像的细节,传统的影像加强手艺在改善图像边缘的同时,也加强了噪声。比力进步前辈的处置法子是频域处置或多分辩率阐发,其思绪是把图像分化当作分歧分辩率的子图像,按照需要对这些子图像进行处置,包罗加强和抑噪,重建今后可以获得较好的图像质量,在临床诊断上有很主要的应用价值。


         注:传统的影像处置手艺很难达到这种结果

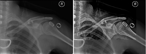
      局部处置(CR):

  7. 7

     原始图像经通俗边缘加强后的结果


      经由过程多标准对比度加强手艺可当作功应用在PACS系统针对X-ray图像的处置过程中。图像中分歧尺寸的低对比度细节的视觉质量显著改善,这种处置体例不会发生严重的鸿沟效应(振铃效应),这一长处使得此手艺可以或许普遍应用于CT、MR、DR、CR、数字乳腺诊断等当作像。

    END
  • 发表于 2020-05-10 19:00
  • 阅读 ( 1068 )
  • 分类:其他类型

你可能感兴趣的文章

相关问题

0 条评论

请先 登录 后评论
联系我们:uytrv@hotmail.com 问答工具