想好好活着,需要多少脑子?

这是真的吗?人真的可以在脑子只剩很少的情况下正常生活嘛?
图片:meo / CC0 这是真的吗?人真的可以在脑子只剩很少的环境下正常糊口嘛? Maxine是个圆子,药味段子馅圆子

固然听起来很匪夷所思,但这样的例子也不少。

没有大脑皮质能活

今朝被报道的完全小脑发育不全仅有 8 例,与之相对比,半边脑皮质缺掉的案例却良多。德国有一个 20 岁的少女在她 3 岁时被查出她只有左半边的脑皮质。

尽管缺乏一个脑半球,但这个女孩有正常的发育和功能,过着正常而充分的糊口,加入正常的黉舍勾当,如轮滑。她机智、迷人、伶俐。

她缺掉的脑组织使她会有一些躯体症状,例如癫痫爆发、左侧肢体无力。但令人惊奇的是她大脑处置需求的能力。大大都一侧皮质缺掉的患者会掉去一侧目力,但她的左眼视觉区域能处置摆布两侧的视觉信息,这意味着,她只用一只眼就能看到常人双眼看到的视觉区域。

没有半个大脑能活

42 岁的弗吉尼亚人 Michelle Mack,不仅没有左侧大脑皮质,还损掉了大部门的大脑深层布局。她的这种神经异常被认为是由早产导致的,可是倒是在她 27 岁时才被诊断出来。

因为神经可塑性,她正常读完了高中,而且拥有正常的说话和交流能力。但仍是不成避免会有一些心理异常导致的缺陷,如对抽象概念的理解坚苦,视觉空间处置异常、在目生的情况轻易迷路,以及目力较差等。

但和怙恃糊口在一路的她可以很好地处置本身的糊口,她在家工作,可以本身做家务,她过得很知足。

只有脑干能活

2001 年圣诞夜,Trevor Waltrip 出生在路易斯安那州,他出生时便患有一种罕有的疾病——无脑畸形,除了脑干,他没有任何脑组织,脑脊液填充了他脑组织的位置。他的脑干维持着他的呼吸、心跳,但除此之外,没有此外。凡是环境下,这样的婴儿不会活到出生,但靠着管路,他活了 12 年。

10%的脑子也能活

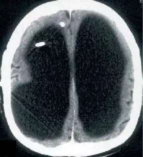
2007 年,《柳叶刀》颁发了一名 44 岁法国男人,因为无诱因左下肢无力,间歇性爆发就诊的病例。大夫查抄他的下肢发现没有异常,思疑是中枢神经系统的问题。于是做了个 CT,成果显示,他有极严重的侧脑室扩张,换句话说,他的脑子只有表层。

这名男纸在出生 6 个月的时辰,因为不明原因的脑积水行脑室分流术,到 14 岁时移除导管及支架。他的大脑在长时候脑积水的侵蚀下,90%已经消逝,IQ 测试只有 75。但他依然正常糊口正常工作,经由过程了本地的公事员测验,在约 30 岁时成婚,已育有一子一女,后代均体健,无神经系统相关疾病等。


那么问题来了,大脑有确实又怎么能活的好好的呢?

这大要要归功于人脑的神经可塑性(Neuroplasticity)——人脑的从头毗连自身以知足需求的能力。尽管神经可塑性很壮大,但也不是无所不克不及,脑子缺的越多,那可以承担需求的脑组织就更少。

所以脑子到底是不是看起来也不是那么必需啊……

1980 年,《科学》杂志上便颁发了相关论题的文章。会商的发源是有学者发现一些患有脑积水的患者(无脑组织仅脑脊液)脑内存有正常人脑不异的信息量,它们表示出无任何症状,好比上面那位法国叔叔。

与本家儿流的认知分歧,一些研究人员认为,信息和持久记忆的储存可能不是以物理的形式,可能存在一些我们未知的可能性,例如亚原子,他们把这种可能性称为“云储存”,表白大脑是以某种形式的电磁波 / 粒子领受和发送信息。

就是这么玄幻……

  • 发表于 2019-02-27 23:04
  • 阅读 ( 928 )
  • 分类:其他类型

你可能感兴趣的文章

相关问题

0 条评论

请先 登录 后评论
admin
admin

0 篇文章

作家榜 »

  1. xiaonan123 189 文章
  2. 汤依妹儿 97 文章
  3. luogf229 46 文章
  4. jy02406749 45 文章
  5. 小凡 34 文章
  6. Daisy萌 32 文章
  7. 我的QQ3117863681 24 文章
  8. 华志健 23 文章

联系我们:uytrv@hotmail.com 问答工具